Wortelkanaalbehandeling

Author:
Ettelbruck
Posted:
vr, 03/28/2025 - 12:18
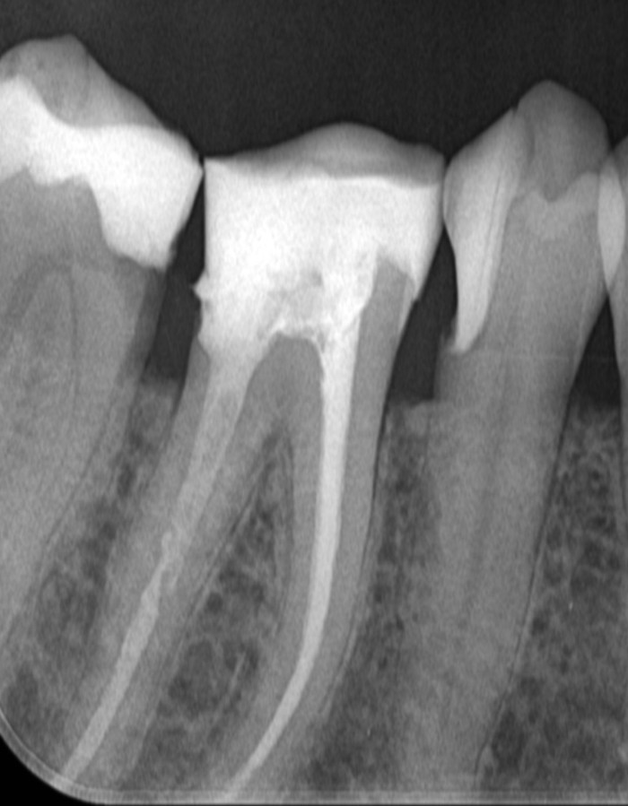
Onlangs een wortelkanaalbehandeling ondergaan aan kies rechtsonder (nr 46) omdat de vulling eruit was gebroken en er een wat diep gat was ontstaan. De kies deed geen pijn. Het idee is om er tzt een kroon op te plaatsen. de behandeling werd deskundig uitgevoerd en was in ongeveer 65 minuten klaar. Mij als patient leek het niet allemaal heel ingewikkeld, gewoon een standaard wortelkanaalbehandeling.

Echter nu de rekening ontvangen, en werkelijk elke code welke mogelijk is, is wel opgevoerd:
X10, E02, E16, E85, CO22, E86, E88, E04, A10, X10, E55, E55, E57, V80, V94
Kan dit kloppen ? Als patient heb je hier natuurlijk geen enkel verstand van, maar kan wel bij E 1000,- afrekenen voor uurtje werk. Dit is toch wel bizar veel geld.
Tandarts_Richa…

Als een code uitgevoerd is mag dat in rekening gebracht worden. Dat wordt door de NZA bepaald niet door de tandartsen. Enige opmerking dat ik zou kunnen maken is dat ik een V94 niet in combinatie met een E88 in rekening breng. In code E88 zit een wortelkanaalstift. Overigens: al zou ik er 10 min of 3 uur of meer over doen....dit mag in rekening gebracht worden als het is uitgevoerd.
vr, 03/28/2025 - 16:10 Permalink
Ettelbruck

Bedankt voor je reactie, maar het is mij niet geheel duidelijk.

Ik zie nergens dat bij een code E88 een wortelkanaalstift is inbegrepen, klopt dit wel ?

E88 lijkt te zijn:
Het boren in de pulpakamer en kanaalingangen.
Het aanbrengen van eventuele onderlagen en de lijmprocedure voor het vulmateriaal.
Het aanbrengen van het vulmateriaal in de pulpakamer en de kanaalingangen.
Het drooghouden van de mond met een speekselzuiger en watten.
vr, 03/28/2025 - 23:04 Permalink
Tandarts_Richa…

"E88 Opvullen van de pulpakamer en afsluiten van de kanaalingangen
Het aanbrengen van een diepe vulling, al dan niet in combinatie met een wortelstift, om de kanaalingangen af te sluiten en de pulpakamer op te vullen. Hiermee wordt voldoende houvast gecreëerd voor de hierop aan te brengen vulling en wordt de tand of kies versterkt."
https://vergelijkmondzorg.nl/tandartstarieven/e88-opvullen-van-de-pulpa…
za, 03/29/2025 - 00:27 Permalink
Ruby24

Hier een soortgelijke vraag m.b.t. een begroting voor een wortelkanaalbehandeling aan nr: 46.
In dit geval is code E17 (Wortelkanaalbehandeling vier of meer kanalen) begroot. De 46 heeft (voor zover ik weet) 2 kanalen dus kan dit kloppen?
Ook 4 maal een X10 (kleine röntgenfoto) voor de 46. M.i. nogal veel dus waarom zoveel foto's?

Heel graag de mening/visie hierop van iemand met meer verstand van zaken!
zo, 06/29/2025 - 14:07 Permalink
Ruby24

Hartelijk bedankt voor de feedback.

Om te beginnen even een vraag aan u m.b.t. dit forum. Ik kwam dit forum verleden jaar pas tegen en hierop is veel info te vinden waar mensen iets mee kunnen die met vragen zitten. Het lijkt erop dat er niet meer zoveel vakmensen (tandartsen, mondhygiënisten) actief zijn op het forum. U bent geloof ik één van de weinigen, zo niet de enige die het forum nog in leven houdt. Kan dit kloppen? Hoe het ook zit,..heel fijn dat u zich nog met dit forum bezighoudt, er tijd aan besteed en vragen wil beantwoorden. Veel dank hiervoor!!

'de 46 heeft meestal 4 kanalen',....maar dus niet altijd. Is dat op een röntgenfoto te zien? Wanneer u wilt kan ik u eventueel in een pb een foto toesturen. Het zijn namelijk niet mijn foto's maar die van een goede kennis die ik probeer te helpen.

Wat het aantal foto's betreft loopt het de spuigaten m..i. uit. Het gebit is 2 maanden geleden in kaart gebracht door een kliniek voor parodontologie waar over de 20 stuks röntgenfoto's zijn gemaakt. Deze zijn in het bezit van de betreffende tandarts die onlangs bij aanvang voor onderzoek van de behandeling van de 46 ook weer foto's maakte van o.a. dit element. Van de overige elementen zijn van sommige zelfs dubbele foto's gemaakt. Die komen bovenop de foto's die al waren gemaakt door de parodontoloog.

Op de begroting voor een geplande wortelkanaalbehandeling van de 46 staat weer 4 maal een X10 gepland voor uitsluitend dit element. Wat kan hier de reden voor zijn?

In 2 maanden tijd gaat de betreffende persoon naar de 30 stuks röntgenfoto's en dan is de zaak nog niet klaar. Dit kan toch niet goed zijn, of ziet u dit anders?
wo, 07/02/2025 - 15:34 Permalink
Tandarts_Richa…

Lees goed :...Ik schreef: Heeft vaak ! 4 kanalen. Soms op een foto te zien maar vaak niet tenzij wij een naald in de kanaal steken maar dan zijn wij al met de wkb bezig.
De parodontoloog maakt voor een ander reden zoveel x-foto's. Namelijk het beoordelen v o.a het botniveau. Soms v e ander hoek genomen om e.a beter te beoordelen. Dus in uw leken ogen dubbel genomen. Maar 20 vind ook ik veel maar kan het niet beoordelen v hier dus in uw geval wellicht wel nodig geweest.
De 4 voor de WKB, lees hierboven.
"ALARA staat voor "As Low As Reasonably Achievable" en is een principe dat wordt toegepast in de stralingsbescherming, waaronder bij röntgenonderzoek. Het houdt in dat de dosis straling die een patiënt of werknemer ontvangt zo laag mogelijk moet worden gehouden, zonder dat dit ten koste gaat van de kwaliteit van de diagnostiek. ".
Dit forum is niet echt bedoeld voor de mensen in ons vak maar meer voor algemeen publiek. Wij zijn met een team die antwoord geven, ik kan ook vak specialisten raadplegen als ik er niet uitkom. Maar ik denk dat ik het snelst ben. En gelukkig v V die m.i veel betere antwoorden geef dan ik, vult mijn antwoorden heel vakkundig aan. Ik ben een vakidioot die zodra ik mijn computer aanzet, eerst het forum aanklik en antwoord geef. Maar ja ik werk maar 3dgn p week ,heb geen eigen praktijk heeft dus ook niet bergen rompslomp daarvan. Maar doe het, zolang ik nog kan, vrijwillig met liefde voor mijn vak en ben blij dat ik hier en daar v hulp kan zijn, helaas niet tot ieders tevredenheid.
wo, 07/02/2025 - 20:01 Permalink
Tandarts_Richa…

"Inzicht in botverlies:
Röntgenfoto's tonen de mate van botafbraak rond de tanden, wat essentieel is voor de diagnose en behandeling van parodontitis.
Röntgenfoto's bij parodontitis
Doel: De röntgenfoto's tonen het botniveau rond de tanden en kiezen.
Type foto's: Meestal worden periapicale (kleine) foto's of verticale bitewings gemaakt.
Informatie: De foto's laten zien of er sprake is van gelijkmatig of angulair botverlies (infrabony defecten) en of er furcatieproblemen (verlies van steunweefsel tussen wortels van kiezen) zijn.
Kortom, een röntgenstatus en röntgenfoto's zijn belangrijke instrumenten voor de diagnose en behandeling van parodontitis, omdat ze een compleet beeld geven van de gezondheid van het tandvlees en de steunweefsels."
wo, 07/02/2025 - 20:09 Permalink