Advies over oorzaak pijn in mond

Author:
Leigh McDonald
Posted:
do, 05/12/2022 - 18:05
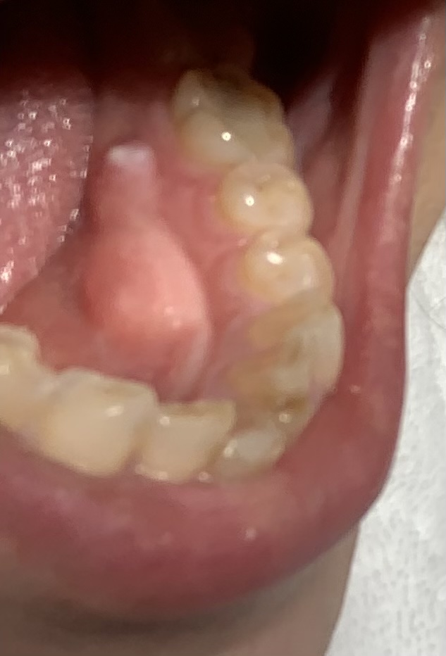
Hallo, ik zoek deskundig advies over het volgende: bij het maken van een afdruk van mijn onderkaak tbv een nacht beugel, is de tandarts heel hardhandig te werk gegaan met een té breed plaatje. Hierdoor had ik veel pijn en kreeg daarna wat ik meende een afte te zijn op de plek zoals is te zien in de foto. Ook heb ik pijn in de hele onderkaak links (nu al 2 weken). De tandarts beweerd dit geen resultaat is van de behandeling en meent deze een fistel te zijn, welk blijkbaar een ontsteking aan de wortelpunt aanduidt. Röntgenfoto toont een gezonde wortel. Ik denk dat de tandarts mijn kaak heeft beschadigd. Denkt men dat ik een afte heb? Of, is het mogelijk door “trauma” een fistel te krijgen? Kan iemand mij helpen met informatie hierover? Ik stel het op prijs.
Attach
Tandarts_Richa…

Mogelijk is het een drukplek veroorzaakt door de lepel. Maar dat zou na twee weken bijna weg moeten zijn. Wat is de oorzaak v d zwelling??. Het lijkt niet maar is mogelijk een Torus Mandibulus. Een fistel is een soort buis dat ontstaat ter afvloeiing v pus uit een ontsteking, in leken termen. Dus neen niet door oppervlakkig trauma, drukplek. Ik zou meer gegevens ,x-foto moeten hebben om een eventuele conclusie te trekken. Bij twijfel vraag om een verwijzing naar de kaakchirurg.
do, 05/12/2022 - 21:27 Permalink
Leigh McDonald

Als antwoord op door Tandarts_Richa…

Hello Richard, dank voor uw respons. Ik ben nog in gesprek met de tandarts en wil mijn dossier in handen krijgen. Ik denk inderdaad dat ik beter naar een kaakchirurg hiermee kan gaan. De oorzaak van de zwelling is door mij niet bekend. Ik weet alleen dat ik tijdens de behandeling veel pijn had op de plek waar nu het witte punt zit en opgezwollen "binnenkaak" heb. Dit lijkt een direct resultaat van de behandeling te zijn.
vr, 05/13/2022 - 11:05 Permalink