Goeden dag,
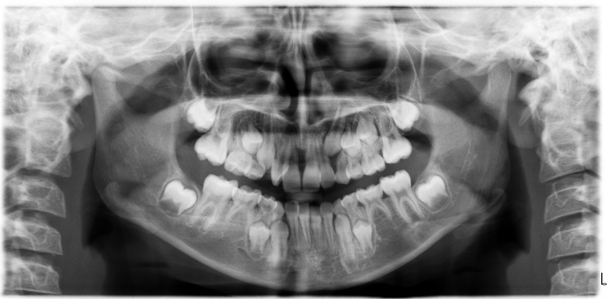
Afgelopen week heeft de tandarts een overzichtsfoto van het gebit van mijn dochter gemaakt (bijna 10).
N.a.v. deze foto heeft zij geconstateerd dat ze 2 kiezen en 1 tand zou missen. Maar als ik zelf naar de foto kijk dan lijkt het alsof ze meer kiezen mist (ze heeft nog geen kiezen gewisseld).
Kan iemand de foto beoordelen en advies geven?
Afgelopen week heeft de tandarts een overzichtsfoto van het gebit van mijn dochter gemaakt (bijna 10).
N.a.v. deze foto heeft zij geconstateerd dat ze 2 kiezen en 1 tand zou missen. Maar als ik zelf naar de foto kijk dan lijkt het alsof ze meer kiezen mist (ze heeft nog geen kiezen gewisseld).
Kan iemand de foto beoordelen en advies geven?
Ik denk dat de buitenste…
Agenesie, niet aangelegd, de…