6 gaatjes in 1 keer

Author:
pranglala
Posted:
zo, 02/02/2014 - 16:40
Hallo,

Mijn dochter is 8 jaar oud en heeft ooit 1 keer eerder een gaatje gehad.
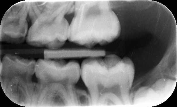
Nu is er bij de laatste controle foto`s gemaakt en daar zijn volgens de tandarts 6 gaatjes te zien en die moeten volgens haar allemaal gevuld worden.
Ik heb de foto`s opgevraagd en kan als ik heel erg m`n best doe 1 gaatje vinden (ik ben dan ook geen tandarts).
Ik loop zelf ook bij deze tandarts en vind haar altijd wel erg ijverig. Als het aan haar ligt waren er inmiddels al 2 keer zo veel behandelingen uitgevoerd, maar gelukkig bepaal ik wat er wel en niet gebeurd. :smt018
Wat kunnen jullie van de foto`s zeggen?

Groet martijn
Attach
Lieneke

Waren er al eens eerder foto's genomen? Ik zie ook absoluut zo'n aantal gaatjes. Helaas ook al in blijvende kiezen. Ik denk niet dat de tandarts overijverig is, maar zich ongerust maakt. En dat zou ik ook zijn. Ik hoop dat er dan ook preventie wordt ingezet, want anders is het dweilen met de kraan open. Bij mij zo zo'n patiëntje elke 6 wk voor poetsles e.d. moeten komen om erger te voorkomen.
zo, 02/02/2014 - 17:10 Permalink
pranglala

Bedankt voor je reactie!
Nee, er waren nooit eerder foto`s genomen.
Wij balen ook enorm, ze poets 2 keer per dag en we poetsen na.
Ze snoept nauwelijks, drinkt geen cola e.d.,
Helaas eet ze erg slecht en ik denk dat daar ook het probleem zit. We proberen haar eetpatroon nu aan te passen.
zo, 02/02/2014 - 22:54 Permalink
pranglala

Ze eet inderdaad langzaam, zit altijd te treuzelen.
Daarnaast eet ze selectief. Ze eet vnl brood met kaas of worst, weinig vlees, aardappels of groenten. Ze eet liever geen avondeten, tenzij pizza of soep met brood. Ook haar fruit duurt minimaal een half uur (bijv. appel). Wij eten hier geen snoep, alleen heel af en toe een koekje.
Kunnen jullie mij vertellen waar de gaatjes zitten of hoe ik ze herken? Voor mij is alleen het gaatje op de bovenste foto aan de rechter zijde van de middelste kies herkenbaar.
ma, 02/03/2014 - 16:14 Permalink
Ortholimburg

Op de bovenste foto's zie ik minstens 3 flinke cariessen, mogelijk nog een beginnende en een twijfelachtige vulling. Op de onderste minstens 2 duidelijke cariessen.Thv de caries zie je een opklaring of radioluscentie, zoals dat dan heet .Hoe je dit herkent? Radiodiagnostiek hoort bij het vakgebied van de tandarts, ik denk dat dit forum hier niet voor bedoeld is.
ma, 02/03/2014 - 17:57 Permalink
Lieneke

Gaatjes herkennen is hartstikke lastig, heb je echt training voor nodig, die zie je niet zomaar. Dus dat kunnen we je zo eventjes niet leren. :wink: Misschien heeft ze juist moeite met eten omdat ze last heeft van de gaatjes....Mijn dochter is ook een moeilijke eter. Zij krijgt pas haar vlees (waar ze dol op is) als ze haar groenten op heeft. Maakt u kleine stukjes van het fruit? Dan is het makkelijker voor haar. En wat wordt er gedronken?
ma, 02/03/2014 - 18:23 Permalink
pranglala

Ik begrijp dat een les radiodiagnostiek er niet in zit. :(
Ze krijgt het fruit altijd in stukjes maar dan nog duurt het minimaal een half uur.
Ze zegt geen last te hebben van de gaatjes, ze voelt geen pijn
Ze drinkt op een dag melk, glaasje appelsap of jus d`orange, water en water met een klein beetje granaatappelsiroop (puur zonder suiker, maar dus wel fruitsuikers). Soms ook thee zonder suiker.
ma, 02/03/2014 - 20:39 Permalink
Lieneke

Tip: Zet een kookwekker op een vaste tijd. Heeft ze het binnen die tijd niet op, dan eten/drinken weghalen. Elke keer zo volhouden. Kinderen leven soms van lucht, dus niet ongerust zijn dat ze niet genoeg krijgt. Bij goed gedrag belonen.
ma, 02/03/2014 - 21:58 Permalink
pranglala

Ze leeft al een jaar of 6 van de lucht....
Kookwekker en vele andere manieren al geprobeerd zonder resultaat.
Kan het plotselinge verval ook van haar slechte eten zijn? Ze mist tenslotte een hoop goede bouwstenen.
Hoe kijken jullie tegen Weston Price aan?
wo, 02/05/2014 - 21:07 Permalink
pranglala

Een diëtist kan niet helpen want ze wil niet eten.
Andere professionele hulp mocht ook niet baten.
Als ze niet tot slecht eet dan mist ze voedingstoffen en uiteindelijk krijgt ze nu ook gaatjes. Dan lijkt mij daar duidelijk een verband liggen.
Weston Price was van mening dat bepaalde voedingstoffen het gebit gezond hielden zoals zuivel en vlees. Hoe kijken jullie daar tegen aan?
za, 02/08/2014 - 15:01 Permalink
Lieneke

IK denk niet zo zeer dat, bij wijze van spreken (!), als je een blaadje sla op een kies legt, die kies zichzelf ineens repareert. Een gaatje kan zich wel in meer of mindere mate herstellen door goed poets- en eetgedrag. Maar dan ligt dat meer aan het minder consumeren van suiker. Melk heeft wel een bufferende werking en is iets vettig wat een beschermd laagje zou kunnen vormen.
za, 02/08/2014 - 15:09 Permalink
pranglala

Ik denk ook niet dat Weston Price bedoelde dat het van buiten af werkt. Het enige wat van buiten af helpt zijn basische middelen zoals zout om de zuurgraad zo laag mogelijk te houden. Ik denk niet dat een blaadje sla daar aan bijdraagt.
za, 02/08/2014 - 15:24 Permalink
Lieneke

Dat van die basische middelen geloof ik persoonlijk niet zo. Het lichaam heeft van zichzelf zuren en die zijn hard nodig. Bijv. maagzuur. Als je van dat extra basische water drinkt, dan wordt dat in de maag toch weer met zuur gemengd. Dus systemisch lijkt mij dat niet werken. Maar goed, nu begeef ik me op een terrein waar ik te weinig van af weet. Bij dit soort dingen zou ik met een diëtist overleggen.
za, 02/08/2014 - 15:47 Permalink