3 gaatjes bij 6 jarige: Is vullen mogelijk?

Author:
kro1988
Posted:
za, 12/13/2025 - 03:12
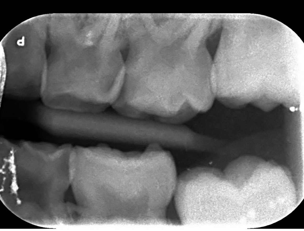
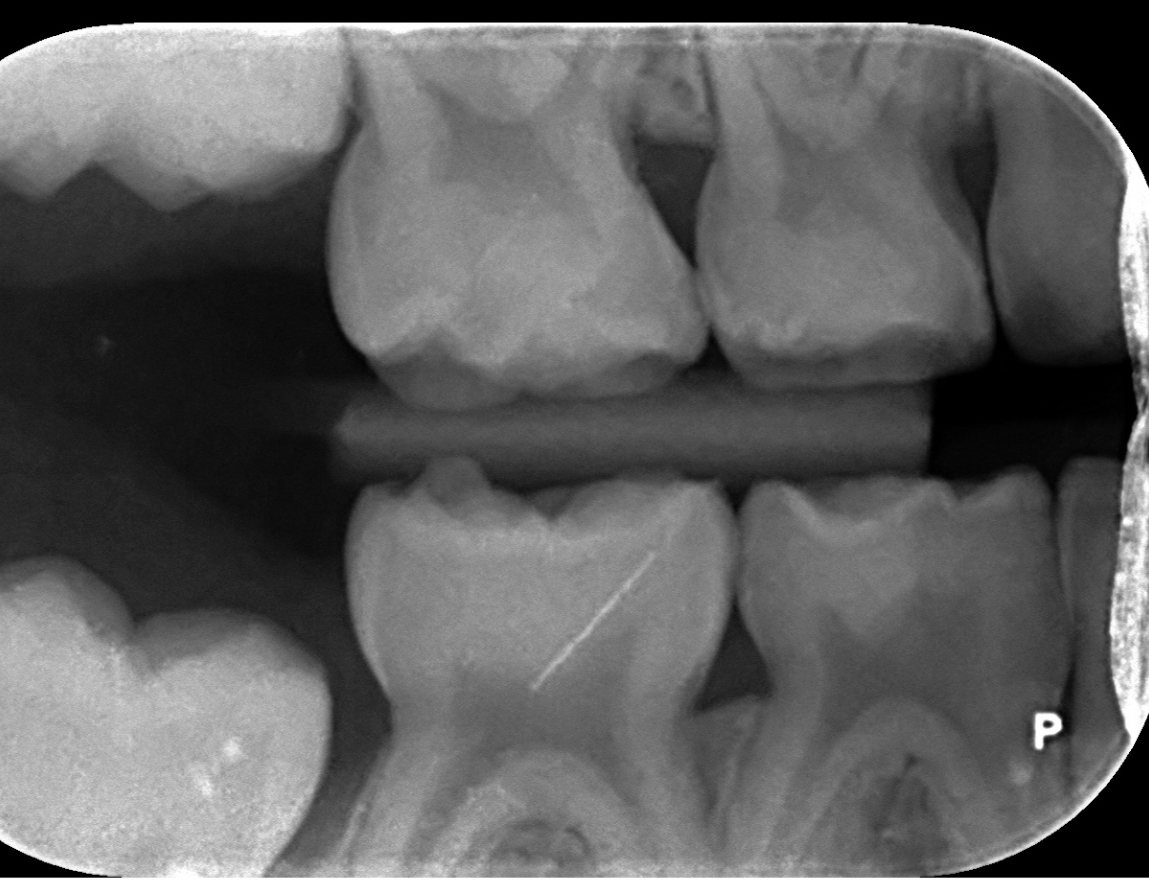
Beste tandartsen, Deze week hebben wij te horen gekregen dat mijn zoontje 3 gaatjes in zijn melkkiesjes heeft. Onze tandarts heeft een voorkeur voor RVS kronen op alle drie de getroffen kiesjes, maar het is ons niet helemaal duidelijk in hoeverre dit is vanwege het effect van de ingreep op een 6 jarige an sich, of de mate waarin de gaatjes gevorderd zijn. Ik zou graag begrijpen welke kiesjes zijn aangedaan en bij welke vullen eventueel mogelijk is (ik zou RVS kronen heel graag willen voorkomen… voornamelijk op de voorste kiesjes die erg goed zichtbaar zijn bij hem). Kunnen jullie dit helpen beoordelen per aangedaan kiesje ahv bijgesloten foto’s? Bedankt!
Tandarts_Richa…

Zie geen foto. Heb nu een kind v 4 jr met acht hele grote gaten. Ga dat gewoon vullen met composiet.Wel verdoven...Kind heel duidelijk langzaam laten wennen, kwestie v geduld... Heb nog nooit (43 jr)een Hall Kroon hoeven gebruiken. Zie de blog op Tandarts.nl. Voordeel v e kroon is dat het vaak als minder belastend wordt ervaren,,,,,voor het kind zegt men....ik vraag mij af of niet de tandarts wordt bedoeld. Maar ik merk vaak dat het slagen v e behandeling vaak wordt bepaald door de houding v d ouder.
za, 12/13/2025 - 13:25 Permalink
kro1988

Beste Richard,

Heel erg bedankt voor de snelle reactie. Ik moet zeggen dat je antwoord mij hoopvol stemt dat het misschien toch mogelijk zal zijn om te vullen. Ik heb de foto’s nu nogmaals bijgevoegd, hopelijk komen ze nu door. Ik zou graag je mening horen!
Attach
zo, 12/14/2025 - 18:30 Permalink
Tandarts_Richa…

Ik kan een x-foto normaal in mijn programma bewerken. Deze foto's niet . Maar mogelijk 6 gaatjes die ik gewoon vull, uitgaande v wat ik op de foto zie. Maar pas duidelijk als ik ook in de mond beoordeel.64/65/74/54/55/84.
Let goed op drank en voeding, wat geeft u te drinken en wat geeft u mee naar school. . Niet meer dan 6 invloeden per dag. Ontbijt lunch avondeten zijn er al drie...een appeltje en later een banaantje en je hebt er al 5. Voor de dorst water/ thee/ melk zonder suiker mag men geven zoveel men wil in de weekend een glaasje siroop mag best , boodschap is niet v je mag niets. Maar dit vind ik te veel mogelijke gaatjes. Een Hall kroon kan maar dat is per behandelaar anders. Ik verdoof en vull en als ik het zo beoordeel prima te vullen. Maar sommige tandartsen vinden het eng om te vullen bij een kind...eerst vertrouwen winnen en uw houding is HEEEEEL belangrijk. Bereid een kind goed voor en probeer je eigen angsten niet over te brengen...Oh morgen een gaatje vullen...normaalste zaak..OOOOOOH morgen een GAAATJE VULLEN... je zegt hetzelfde maar "cest le ton qui fait le music" Sorry mijn Frans is niet zo goed.. Poets zelf 2x pd een volledig poetsbeurt mee.
zo, 12/14/2025 - 22:58 Permalink
kro1988

Beste Richard,

Dat komt waarschijnlijk omdat dit een screenshot is van de röntgen foto’s, omdat ik de naam van mijn zoontje er op die manier van af heb gehaald. Zou ik ze originelen kunnen delen in een privé bericht?
ma, 12/15/2025 - 02:54 Permalink