Goedemorgen
5 dagen geleden is bij mij een kies getrokken
Links onder (grote kies)
En tot heden heb ik nog steeds pijn rond het gebied bij de wond
En mijn kaak?
Zeurende druk pijn
Op foto's is niets te zien zeggen ze
De wond is ook gehecht ...
Mijn kaak voelt echt pijnlijk aan rond de plek
Vraag mij af hoort dit zo lang te zijn
5 dagen verder
Slik amoxcilline ibopro...
En als dit normaal is ...hoe lang duurt het ongeveer tot pijn minder word
Ondanks de hechtingen zie ik dat een deel toch open is ....
Ik spoel 2x per dag
Zachtjes...
Graag advies ...
5 dagen geleden is bij mij een kies getrokken
Links onder (grote kies)
En tot heden heb ik nog steeds pijn rond het gebied bij de wond
En mijn kaak?
Zeurende druk pijn
Op foto's is niets te zien zeggen ze
De wond is ook gehecht ...
Mijn kaak voelt echt pijnlijk aan rond de plek
Vraag mij af hoort dit zo lang te zijn
5 dagen verder
Slik amoxcilline ibopro...
En als dit normaal is ...hoe lang duurt het ongeveer tot pijn minder word
Ondanks de hechtingen zie ik dat een deel toch open is ....
Ik spoel 2x per dag
Zachtjes...
Graag advies ...
Er gebeurt wel veel bij u…
Mogelijk een "dry Socket"...even overleggen met uw tandarts.
Naarmate er sprake was v e flinke ontsteking/ moelijke extractie etc kan het ongemak zelfs een paar weken duren. ondedrukken met pijnstilling. Maar waarom moet u amoxycilline slikken??.
Ja het zit totaal niet mee …
En het klopt
Het was de kies Die eerder wkb had gehad
En ja en nu zit er een ontsteking
En ook dry socket...
Net terug kaakchirurg...die heeft dit ook bevestigd
Kreeg nu spuitje mee om en spoeling
Om het schoon te spoelen
Ook een soort Gel die ik er op kan plaatsen tegen de pijn ....
Het zit mij werkelijk echt niet mee de laatste tijd
En de amoxcilline had ik ook van kaak eerder gehad
Pijn is ondraaglijk
Oja en de kleine kies naast…
Die ook wkb had gehad
Geeft nu ook vervelende Druk?
Snap er echt niets meer van
V KC eerder voor deze…
Dat de "kleine"kies last geeft kan ook door uitstraling v d getrokken kies. Maar ik neem aan dat de KC gezien zal hebben als daar ook iets mee aan de hand is.
"Dry Socket"kan flink last geven. Maar vaak door de juiste medicatie goed te ondedrukken. Bijv 3x dgs 2000 mg paracetamol of 1000 mg paracetamol in combinatie met ibu bruis 600 mg. Niet zelfmedicatie naar aanleiding v wat ik hier als voorbeeld geef maar eerst overleg met uw behandelaar.
De kies was bij hun…
Maar geeft steeds nu complicaties
Zaterdag zat ik bij hun op de spoedeisende
Daar werd vast gesteld dat ik Alveolitis
Had
Ze hadden de hechtingen iets open gemaakt
En schoongespoeld
Moest maandag vandaag dus gelijk naar kaakchirurg terug
Daar werden alle hechtingen weg gehaald weer schoongespoeld en een soort verdoving Gel er op geplaatst
Nu de hechtingen weg zijn is de pijn
Juist toegenomen
Lijkt wel of ik weer op dag 1 zit
Zeurende drukkende tintelingen
Continu
Moet nu 3x daags spoelen met spuitje
Spiegel opbouwen met paracetamols
Ook moest ik iboprofen er bij nemen
Er werd mij gezegd
Dat dit nog wel eens 1 week pijn kan geven .
Mijn kaak onder de wond heeft ook een optater gehad
Is nu zo stijf en moeite met openen
Daar kon ik warm kruik op doen en afwisselend met koud...
Ben echt klaar met al die pijn
Die kleine tand er naast zag hij niets
Maar de druk zit er wel degelijk op
Wat u al zei mischien straalt het uit van de wond
Het is ook net of mijn…
Vreselijke pijn prikkels
Gaat door merg en been
Ook continu misselijkheid
Nog een vraag Zou er…
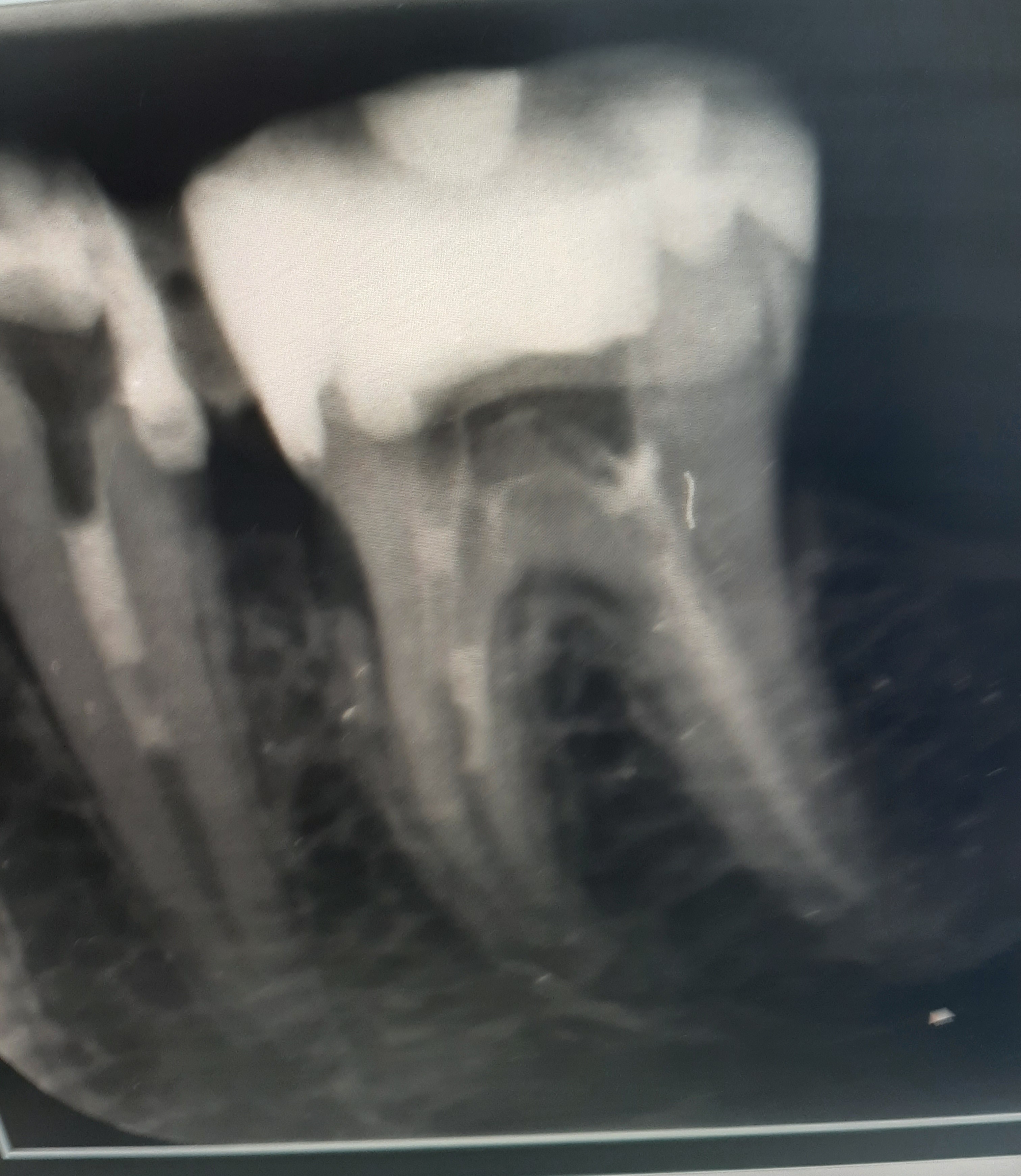
Zou er wortelrest achtergebleven kunnen zijn?
En kan je dat zien op de Röntgenfoto'.
Hoe zien ze dit ?
Ja ik ga nu overal mij zorgen om maken
Zie geen wortelrest. En last…
Ja de 35e stond nog gepland…
Maar omdat ik nu last heb van de wond willen ze wachten....
Ze haddenvoor gesteld kaakchirurg en tandarts
Om gedeelte prothese onder te nemen
Dan was de 35e ook niet meer nodig
Ben er nog over na aan het denken
En de 35e Staat nu ook…
Staat nu ook gepland voor extractie
Nu alleen de vraag
Is het slim omdat nu al te doen
Aangezien probleem met de wond ...er naast?
De keuze is of u naar een…
Als u voor een frame kiest dan doen maar zou even wachten.
Ik ga wachten met de 35e er…
Wel ga ik weer mijn wond laten controleren bij de kaakchirurg
Pijn weer erger geworden
Moest vandaag langs tandarts om ook de wond schoon te maken
Wat mij echt nu opvalt
Iedere keer als ze de boel schoonmaken
Word de pijn steeds erger ???
Is toch vreemd toch
Neen niet vreemd... wordt…
35e gaat uiteindelijk wel er…
Neem gedeelte prothese
Die planning staat al.
Maar eerst moet alles rustig worden
De Wond!!
dry Socket heb ik nu zeker daar....
Dus voorlopig...alles on hold!!
Nog 1 Korte vraag Ik heb…
Ik heb ook nu Alveolitis
En las op het forum veel hier over wat te doen
Een ding graag uitleg
Lees veel over dat schoonspoelen met zo'n spuitje
Hoe ver moet dat spuitje er in ?
En hoe hard moet je het er in spuiten
Is dit oppervlakkig? Of diep er in?
En welke spoeling is het beste
Zout gekookt water
Pero aid
Of
waterstofperoxide 3% met water gemengd
Spuit je het nieuwe weefsel niet stuk
En hoe weetje of het nieuw weefsel is of oud
Spuit iets inbrengen en heel…
Dat Alveolitis Zo'n pijn kan…
Zo'n pijn kan doen niet normaal dit
Kaak ook pijn
Moeite met openen van mijn mond
Stijfheid kaak
Tinteling richting hoek lip
Lymfklier ook iets gezwollen
Plek getrokken kies vreselijke pijn
En tinteling
Voel gewoon de lucht door dat gat richting kaak onder?
Ongelooflijk
En dan lees ik minimaal 2 weken ...
Morgen 2e opinion andere kaakchirurg
Ander ziekenhuis
Heb nieuwe verwijzing ....
En dan de man eerst zijn ding doen
Voor ik meer info geef .
Kijken waar hij mee komt
Het is toch duidelijk…
Ik ga toch wel even Want…
Want naast de wond en de kleine tand 35
Voelde en zie ik nu iets roods door mijn tandvlees
Ik voelde er aan en het is keihard
Lijkt wel bot???
Zou het botsplinter/punt zijn
Is ook scherp
Heb nu toch al de afspraak kan de man gelijk kijken
Is waarschijnlijk de bot kam…
Klopt wat u zegt dat zei de…
En ja Alveolitis en kan nog wel even duren
Zei hij
Andere medicatie gehad tegen de pijn
Spoelen mocht aleen nog met lauw water
De pijn die ik nu nog heb
Komt volgends hem niet perse van dat gat maar rond dat gat ...ligt allemaal bloot daar
Hij zegt als eenmaal het tandvlees redelijk hersteld zou zijn alle pijn minder zou worden
Over de 35e zei hij die gaan we niet trekken nu
De druk die daar op zit komt van er naast
Hij zag bij de 35e geen problemen buiten de wkb die niet afgemaakt was
Zijn advies eerst de boel herstellen voor verdere behandeling
Prothese ook daar mee wachten
Foto van nu
Nog 1vraag Die lijn dat van…
Die lijn dat van boven naar beneden loopt
Is toch geen tand stuk?
Is dat de botkam?
Heb foto voor en nu ?
Veel vragen Excuus Maar …
Excuus
Maar
Is het normaal dat alles daar nu een tintelingen...geeft ...
Hoort dat bij het herstel proces
Wond en tandvlees er omheen???
Voel het tot aan mijn hoek lip
Soort lichte tinteling prikkeling
Dat is het botkam…
Waarom is extractie 36 besloten en geen herbehandeling bij endodontoloog. Herbehandeling en bij slagen herbeh. later een kroon...
Behandeling?? Afbehandeling?…
Ik snap het even nu niet
Is die botkam ..iets ergs?
Bedoeld u dat?
Dat de 36 extractie heeft gehad
Tja werd mij verteld dat deze niet meer te redden was?
En de 35 willen ze nu ook extractie doen
En later nog een paar
Omdat ik een gedeelte prothese zou krijgen
Nou ben ik nog meer ongerust
Kijk dit is wat de…
Zelf ben ik nu wel erg bang om de tanden te trekken
Nu ik Alveolitis heb .....en weet jie pijn dit doet
En ik erg bang ben dat straks weer te krijgen
Weet het even niet meer
Ben ik weer Terug komende…
Terug komende over die Botkam
Is dat nu erg ...of niet
Moest dat er ook uit ....
Of niet?
Maak mij nu al weer zorgen dat alles open moet weer ...
Graag reactie dank u
Begreep u antwoord niet ?
U schreef afbehandeling?
De lijn is botkam. Gewoon…
Afbehandeling wkb 35. Jammer dat de endodontoloog het niet kon redden.
Als u aan de hand v d mogelijkheden besloten heeft dat u een frame prothese krijgt dan zou ik zodra de 36 genezen is de 35 verwijderen.
Een keer alveolitis betekent niet dat u dat elke keer krijgt. Altijd mogelijk maar niet standaard. U kunt op straat ook aangereden worden maar dat hoeft niet te betekenen dat u de straat niet op moet gaan. Het heeft geen zin over alles zorgen te maken. Plan uitvoeren en uw best doen uw gebit goed te verzorgen zodat het lang mee gaat.
Dank u voor de rustgevende…
Tja je word er nogal ontzeker van
Die wond of wel gat waar de kies zat
Die is nog steeds niet dicht
Ook de omliggende tandvlees vlak bij de wond oogt op plekken WIT
Hoe lang kan dit met mijn klachten
Nog duren .. aangezien ik complicaties had
En kan ik dit met iets bevorderen?
Normaal is het 10 dagen las ik als alles goed gaat.
En wanneer moet ik aan de bel trekken
Als gat open blijft?
Soms enkele weken en echt…
Even tussen door een andere…
Ze hebben het ook steeds over de 22e
Dat die een horizontale breuk heeft
Tandarts zegt dit
Maar is dat wel zo??
Is het niet gewoon vulling of composiet ??
Zet paar foto's hier eerste is van pas
Omdat er ook gelijk weer werd geroepen
Er uit laten halen ?
Zou best kunnen maar kan dat…
Oke bedankt... Dacht dat het…
Dacht dat het met de alveolitis beter ging
Maar vandaag weer meer pijn ...pfff
Houd het goed schoon continu
Met dat spuitje
Dat gat is ook irritant...zie totaal geen verbetering
Lijkt we of al mijn zenuwen bloot liggen
Continu van die prikkels
Kaak richting oor en onder mijn oog .
Hoop echt dat het eens beter gaat
Nu al 8 dagen nadat ik alveolitis kreeg
Heb al eerder aangegeven dat…
Ik zie nu in het gat een wit…
Is dat epitheelcellen??
Heb nog niet gegeten...dus kan geen eten zijn
Of is dat wat van onder dat gat naar boven komt ?
En moet ik dat wel wegspoelen
Nu mijn ding
Als ik nu ga spoelen met dat spuitje
Spuit ik dat dan niet weg???
Als dit wel epitheelcellen zijn?
Of beter niet doen...
En gewoon spoeling in mijn mond doen en er op laten .
De plek geeft ook heel veel tintelingen....
Continue
Hier nieuwe foto 22e Pff wat…
Pff wat een toestand mijn gebit
Morgen moet toch voor controle terug
Zal daar vragen .
Mogelijk afgestorven weefsel…
Nu doorzetten ..een duidelijk herstel plan/keuze maken. Dat zal helaas wat kosten maar met lapwerk blijft u in deze cirkel doorgaan. Keuze zal bepaald worden door, mede, uw besteding mogelijkheid.
Foto is te onduidelijk...Zie ik twee breuklijnen of is dit alleen schaduw werking??.
Zal morgen gelijk vragen…
Moet nu maar eens duidelijk worden
Wel of niet...breuk.
Zo niet ...dan duidelijkheid wat wel
De irritatie van 22e is.
En de wond van 36e laten na kijken zo en zo
Op een v d foto;was de…
En geweest Wond weer…
Wond weer schoongemaakt
Zag er goed uit volgens hun
En de 22e tja
Daar hadden ze nu géén tijd voor
Er werd niet eens naar gekeken??
Tja ik zeg nu maar even niets
Kijk nu in die wond Nu…
Nu lijkt of alles weer dieper open ligt
Na dat spoelen ?
Bizar!!!
Lijkt nu of ze het herstelden weefsel ook weg hebben gespoten ???
Als alleen tijd is…
Zo snel wordt weefsel niet weg gespoten.
Blijft mij onduidelijk Ja…
Ja ik moet spoelen
Moet ik dat witte laagje wat in de wond komt
Nou wel of niet wegspoelen..?
Erg onduidelijk als ze steeds wat anders zeggen.
En nee het is geen eten.
Nu zie ik duidelijk kaakbot…
Echt zo'n harde punt
Net naast mijn kleine tand en wond
En dat doet zeer en gevoelig
Dacht steeds de wond maar ik vermoed dat kaakbot
Ik denk dat er
om het te bedekken teweinig tandvlees is ...
Dat groeit er nooit overheen?
U moet zachtjes spoelen…
En ja 22e is er ook uit …
Nu vraag is het normaal dat de aangrenzende voortand
Die er naast zit
Nu raar dof aanvoelt ...
Voelt niet meer zelfde als daarvoor
Krijg ik nu weer dat
Zou kunnen. Moet ook…
Echt bizar Soort spanning…
Soort spanning druk dof gevoel
Voortand ...
Heel raar...
En ja zit naast de wond
En ja blijft een operatie iets....
Maar de
Wond zelf tot nu totaal geen last
Je zou nu juist zeggen wortel genoeg ruimte
Omdat eerder vele zeiden weinigruimte tussen 22e en voortand er naast ...
En als er meer ruimte komt…
Paginering