Uitleg 3D scan kaak gevraagd.

Author:
T!EN.
Posted:
za, 02/05/2011 - 00:28
Hallo!
Ik ben nieuw hier, en heb geen ervaring met een forum als dit,
dus ik hoop dat ik mijn vraag goed plaats…
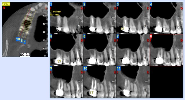
Ik heb hier een afbeelding van een 3D scan van de kaak,
en zou graag willen weten waarom de ene kant zwart is en de andere kant "mistig"…
Zie #1 en #2.
Is er misschien iemand hier,
die maar daar iets zinnigs over kan zeggen?
Alvast hartelijk bedankt,
groetjes T!EN.
Attach
robinson

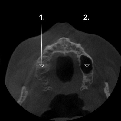
Sinusholte bij 1 laat sluiering zien.
De sinus kan vol vocht zitten,
de mucosa kan zodanig dik zijn dat de volledige sinusholte erdoor gevuld wordt; ook als het slijmvlies van de voorwand van de sinus zeer gezwollen is geeft dit een sluiering van de totale sinus; er kan agenesie van de sinus zijn. Bij totale sluiering is dus verder onderzoek vereist.
za, 02/05/2011 - 10:07 Permalink
T!EN.

Hi Robinson,
Hartelijk dank voor je snelle en duidelijke reactie!
Het vreemde is dat de persoon in questie totaal geen last heeft bij #1,
maar juist aan zijde #2. De sluiering is dus eigenlijk een toevalstreffer, die zonder scan niet was opgemerkt.
Sinds een WKB heeft ze last van een priemend gevoel net boven de wortel, alsof er iets zit te duwen.
Na diverse behandelingen en het uiteindelijk trekken van de kies gaat dit gevoel niet weg. Hierbij moet ik misschien wel vermelden dat de tandarts bij de WKB de verkeerde kies te pakken had. Ze ging voor kies 27, maar kwam er tijdens de behandeling achter dat de tandarts aan kies 26 bezig was… De tandarts verzekerde haar dat deze kies zowiezo binnen korte tijd een WKB had moeten ondergaan.

Hoe dan ook, mijn zusje wil van het priemend gevoel af, dat uitstraalt naar haar oor en wang. Zij denkt echt dat er iets op een zenuw drukt, maar op de scan is dus niks te zien.
Laatst heeft de tandarts een lichte verdoving gezet en dat gaf voor even verlichting, ze kon haar kaken weer ontspannen, kon slapen en kwam wat tot rust. Zou er een bovenliggende zenuw dusdanig geirriteerd kunnen zijn, dat deze constant pijnprikkels blijft geven?

We zoeken verder, maar nu weet ik in ieder geval zeker dat holte #2 er goed uitziet, ik ging eraan twijfelen omdat ze steeds zegt daar zo'n last te hebben. Nogmaals dank voor de bevestiging!

Met vriendelijke groet, T!EN.
za, 02/05/2011 - 14:59 Permalink
Paramedic

Zou er een bovenliggende zenuw dusdanig geirriteerd kunnen zijn, dat deze constant pijnprikkels blijft geven?


Ja, dat zou kunnen.
Als een zenuw ontstoken is (neuritis) kan ie inderdaad zo,n gedrag gaan vertonen.

Sinds een WKB heeft ze last van een priemend gevoel net boven de wortel, alsof er iets zit te duwen.


Maar, welke klacht was dan de aanleiding tot de wkb ?
za, 02/05/2011 - 22:35 Permalink
T!EN.

Hallo Paramedic,
ook dank voor je reactie! Echt fijn!

Er waren geen klachten mbt tot die kies, ze ging voor een WKB van een andere kies…
Maar volgens de tandarts had deze kies zowiezo binnen de kortste tijd een WKB moeten ondergaan. Ik vind dit vreemd, maar blijkbaar kon de tandarts op de foto al zien dat hier een probleem aan zat te komen???? Tenminste zo brengt hij het.
Maar volgens mijn zusje heeft hij in een gezonde kies, in ieder geval een kies waar ze geen last van had, zitten "roeren". Daarna heeft ze pas last gekregen.

Eerste weken het gevoel dat er "iets" zit, zoals vlees tussen je tanden, maar dan op de plek boven de wortel, daarna werd het steeds erger en werd het een priemend gevoel, alsof er een tandenstoker in haar kaak of tandvlees werd geduwd. Constant.

Er is toen gezocht naar een vierde kanaal in die kies, 3 waren er dus behandeld, maar dat was er niet. Een keer is er een kanaal opnieuw opengemaakt, omdat ze "gek" werd van het gevoel en hoe dan ook er een opening moest komen… Daarbij voelde ze een zenuwprikkeling, de tandarts zei ook,"oooh, dat was een zenuw." Dit gaf een dagje verlichting, maar ze weet niet meer of deze behandeling met verdoving was, dus of de verlichting door de verdoving kwam, of doordat die zenuw werd geraakt.

Van de kies zelf had ze geen last, ze kon ermee bijten, geen probleem. Maar als ze met haar tong langs de kies ging voelde ze een zenuwprikkeling erboven. Ze dacht dat er een stukje vijl was blijven zitten of zo, dat gevoel beschrijft ze… Maar volgens de tandarts zat er niks.

Een jaar later of zo, kon ze er niet meer tegen, sliep niet meer, had last van haar kaken, kon niet meer ontspannen, niks meer. En wilde ze de kies eruit! De tandarts besloot ter plekke, om de kies te sparen, eerst nog een wortelpunt te verwijderen. Dit zou meteen verlichting moeten geven, als die misschien ontstoken was…
2 dagen later terug om de kies alsnog te verwijderen, want het gaf dus geen verlichting.

Ja, het is een lang verhaal. (en volgens mij niet eens helemaal compleet, zal het morgen even navragen)

De dag erna wederom terug naar de tandarts, want ze had vreselijke pijn. Er werd wat aan het kaakbeen geboord, en gespoeld met peroxido of zo om de wond goed schoon te maken, en dat was het. Wondje groeide mooi dicht, maar nog steeds met dat rotgevoel wat inmiddels haar leven beheerst.

Het laatste gedeelte van het verhaal zal ik een beetje inkorten,
neuroloog - hersenscan - zegt geen aangezichtspijn
kaakchirurg - scan - niks te zien aan pijnlijke zijde
pijnpolie - wel aangezichtspijn - medicijnen voorgeschreven
(soort antidepressiva waar m'n zusje echt niet aan wil)

Dat was het voor nu!
Groetjes T!EN.
zo, 02/06/2011 - 00:00 Permalink
Paramedic

ze ging voor een WKB van een andere kies…


Zonder klachten ?

priemend gevoel, alsof er een tandenstoker in haar kaak of tandvlees werd geduwd. Constant.


Is die pijn er nu ook nog ?, en is het een continue pijn of is het een pijn aanval opwekbaar door het aanraken van een plekje in de mond ?

pijnpolie - wel aangezichtspijn - medicijnen voorgeschreven


Hebben ze haar carbamazepine (tegretol) voorgeschreven ?
zo, 02/06/2011 - 00:39 Permalink
T!EN.

Hoi Paramedic,

Die andere kies, waarvoor ze eigenlijk ging, was na het opnieuw opbouwen erg gevoelig geworden, dat was de reden van een WKB van die kies.

Het begon met het gevoel dat er iets zat, dit ging over in het gevoel dat er iets priemde, stak, drukte op een zenuw, waardoor ze almaar gekke bewegingen met haar mond ging maken. Ook zei ze dat dit doortrok naar haar wang en oor. Maar als je almaar gekke bewegingen maakt, wordt alles volgens mij geirriteerd of overbelast. De laatste tijd heeft ze die beweging enigszins onder controle, mede door de kiezen maar op elkaar te houden heb ik het idee…
De pijn is nu ook weer terug naar het gevoel dat er iets zit op die bepaalde plek in de kaak. Bij aanraking van het tandvlees aldaar is het erger. Ook tanden poetsen, of beter gezegd, tandvlees poetsen, op die plek blijf erg gevoelig, terwijl de kies er al dik een jaar uit is.
Ze spreek nu ook niet meer zo zeer van pijn, maar van een rotgevoel, dat wel constant aanwezig is, vanaf ze wakker wordt tot ze in slaap valt...

De naam van het medicijn zal ik morgen even navragen.

Groetjes T!EN.
zo, 02/06/2011 - 01:14 Permalink
Illuminus

Het hele verhaal is redelijk exemplarisch voor een pijnklacht die niet meer van dentogene oorsprong is, maar waarschijnlijk in dit geval wel zijn oorsprong heeft in zenuwbanen die samenhangen met tandpulpae.

nl: continu aanwezig
Relatief mild van aard
Op enig moment getriggerd en daarna niet meer weggegaan
Duidelijke lokatie
Wel beinvloedbaar door plaatselijke anesthesie
Geen duidelijke pathologie

Als zo een patroon zichtbaar wordt moet toch wel een alarmbelletje gaan rinkelen, want bij mensen met deze klachten worden vaak onnodige behandelingen (wkb's, extracties) uitgevoerd die geen oplossing geven.

Er is een grote kans dat hier sprake is van een vorm van deafferentiepijn, dit ontstaat door amputatie (wkb, extractie) of beschadiging (mini-bloeding) van een zenuw waardoor deze impulsen blijft afvuren zonder dat hiervoor een klinische aanleiding is.

Let wel dat het afvuren van deze impulsen nog geen pijn is....het wordt pas pijn als deze signalen de hersenschors bereiken en dan omgezet worden in een pijngevoel.

Diagnostiek en behandeling van dergelijke pijn is moeilijk en specialistisch werk (er zijn veel varianten), kern is wel dat onderzoek en therapie voor een deel bepaald wordt door afstrepen van mogelijkheden en inzetten van bepaalde therapieen om oorzaken te bevestigen of te ontkrachten.

Het voorschrijven van carbamazepine (of soortgelijken, er zijn meerdere keuzes mogelijk) is hier een onderdeel van. Ook moet worden beseft dat deze medicatie niet als antidepressivum wordt voorgeschreven maar in een veel lagere dosering om deze de-afferentiepijnen te onderdrukken. Het kan wel zo zijn dat (als deze therapie aanslaat) de dosering omhoog kan worden bijgesteld om meer pijn onderdrukking te krijgen met wellicht als bijwerking een meer anti-depressieve werking of andere bijwerkingen, waar een evenwicht in gezocht moet worden.

Als iemand in het diagnostisch traject weigert een dergelijke therapie serieus te nemen, vraag ik me af of verder dokteren nog wel zin heeft omdat je een bewust een deel van je diagnostiek verboden terrein verklaart...maar als daar nu net het probleem ligt zul je zeker geen resultaat boeken...

Maar goed ieder zijn ding en dit heeft natuurlijk ook niet veel meer te maken met het uitleggen van een ct scan...
zo, 02/06/2011 - 20:46 Permalink
Illuminus

Daar is men al geweest, maar de therapie met antidepressiva is geweigerd.

Tenminste dat lees ik uit het verhaal:
Het laatste gedeelte van het verhaal zal ik een beetje inkorten,
neuroloog - hersenscan - zegt geen aangezichtspijn
kaakchirurg - scan - niks te zien aan pijnlijke zijde
pijnpolie - wel aangezichtspijn - medicijnen voorgeschreven
(soort antidepressiva waar m'n zusje echt niet aan wil)
zo, 02/06/2011 - 21:23 Permalink
robinson

Ik heb ook zo'n patiente.
Heb haar dit verhaal ook proberen uit te leggen. Het verhaal dat met anti-depressiva dit soort klachten te verhelpen zijn valt menigeen rauw op het dak. Ze is daarom naar een andere tandarts vertrokken. Na ettelijke endo's en extracties heeft ze zich weer aangemeld. Ik heb haar een verwijzing gegeven voor de pijnpoli.
Zij slikt op dit moment amitriptyline, zij kan de dosering naar eigen inzicht aanpassen.
Op dit moment gaat het goed met haar.
zo, 02/06/2011 - 21:35 Permalink
T!EN.

Als of ze elektrische schokken kreeg ?, met daarbij onwillekeurige bewegingen ?, waarvan de pijn doorstraalt naar de wang en oor ?Wat is haar leeftijd ?

Nee niet alsof ze schokken kreeg, meer een kauwbeweging, maar dan zonder eten. Zoals je doet als er iets achter je kiezen zit, maar dan de hele dag door… Ze is 37 jaar.

Flink uitgezakte sinus.
Hoe was de blaas/snuit proef?
Geen antrumperforatie?

Blaas/snuit proef goed doorstaan. Tandarts dacht inderdaad even aan antrumperforatie, opening als ik het goed heb toch, maar dat was niet het geval, en wondje was goed dichtgegroeid.

nl: continu aanwezig
Relatief mild van aard
Op enig moment getriggerd en daarna niet meer weggegaan
Duidelijke lokatie
Wel beinvloedbaar door plaatselijke anesthesie
Geen duidelijke pathologie

Als zo een patroon zichtbaar wordt moet toch wel een alarmbelletje gaan rinkelen, want bij mensen met deze klachten worden vaak onnodige behandelingen (wkb's, extracties) uitgevoerd die geen oplossing geven.

De lokatie kan ze inderdaad duidelijk aangeven, er zijn dan ook geen andere kiezen of tanden behandeld voor deze klacht. Een plaatselijke verdoving geeft inderdaad rust en ontspanning, en zelfs wel 2 weken lang als ik haar goed begrepen heb.

Als iemand in het diagnostisch traject weigert een dergelijke therapie serieus te nemen, vraag ik me af of verder dokteren nog wel zin heeft omdat je een bewust een deel van je diagnostiek verboden terrein verklaart...maar als daar nu net het probleem ligt zul je zeker geen resultaat boeken...
Het is niet zo zeer dat ze het niet serieus neemt, maar ze vraagt zich meer af of er geen alternatief is, omdat ze de plek waarvanuit het rotgevoel ontstaat kan aangeven. Als duidelijk is dat er niks op de zenuw drukt, is het waarschijnlijk de zenuw zelf die geirriteerd is, en is deze zenuw dan niet ook zelf aan te pakken op een of andere manier?

Maar goed ieder zijn ding en dit heeft natuurlijk ook niet veel meer te maken met het uitleggen van een ct scan...

Ik zal eens kijken of ik de titel kan aanpassen. (zie helaas geen edit button bij eerdere berichten, dus niet mogelijk)

Het verhaal dat met anti-depressiva dit soort klachten te verhelpen zijn valt menigeen rauw op het dak.

Daar heb je gelijk in, bij mijn zus dus ook. Zij ging met het idee dat er nu eindelijk iets op die plek in haar kaak ging gebeuren naar de pijnpoli toe en kwam teleurgesteld terug met een recept. Ik heb voor haar verder gezocht en een andere pijnkliniek gevonden, waar ze misschien wel de zenuw aan kunnen pakken of blokkeren. Nog een vraagje, je zei een flink uitgezakte sinus, kan zoiets geen druk op een zenuw veroorzaken? Op de scan loopt de sinusholte, het zwarte gebied als ik het goed begrijp, ver naar beneden door, en dat is precies de plek waar het gevoelig is.

Aan allen dank voor het meedenken en antwoorden!

MvG T!EN.
ma, 02/07/2011 - 02:10 Permalink
Illuminus

In de bovenkaak loopt een netwerk van zenuwvezeltjes, waarvan hun exact locatie niet bekend is en op diagnostische media ook niet nauwkeurig is vast te stellen. Praktisch is het met de huidige stand van techniek niet mogelijk om de exacte zenuwvezeltjes te localiseren en eventueel uit te schakelen. Er zijn teveel risico's dat verkeerde vezels geraakt worden met wellicht nog vervelendere bijwerkingen. Door sommige experts wordt er ook wel voor gewaarschuwd niet in te grijpen in het gebied waar de pijn gelokaliseerd is (bijv. implanteren ter vervanging van verloren gegane elementen), vanwege vermeend risico op verergering van de klachten.

Ander probleem is dat pijn letterlijk tussen de oren zit....dat wil zeggen dat de sensatie pijn pas in de hersenschors ontstaat, niet in de zenuw die het signaal geeft.

Het geval wil dat bij zenuwvezels in het lichaam net als in een auto de draadjes van alle accessoires bij elkaar komen in kabelbomen (de grotere zenuwen). Doordat er steeds meer vezels bij elkaar komen hoe dichter men bij de hersenen komt neemt het risico op overslag toe...dat wil zeggen dat een signaal van de ene zenuwvezel over kan springen naar een andere vezel die een heel andere oorsprong heeft, met als gevolg dat de hersenen deze prikkel interpreteren als afkomstig van een andere plek dan waar het daadwerkelijk vandaan kwam.
Dit fenomeen wordt 'referred pain' genoemd.

Vanwege onder andere deze redenen is het (op dit moment) niet wenselijk om in te grijpen op het vermeende punt van oorsprong. De therapie met amitriptyline is afgewogen een weinig invasieve, goed controleerbare en reversibele therapie met redelijke resultaten op het gebied van de-afferentiepijn.
ma, 02/07/2011 - 13:37 Permalink
Paramedic

Sluit me volledig aan bij het verhaal van Illuminus !
Start met de amytriptyline , en wacht af wat het gaat doen.
Het kan de aangedane zenuw tot rust brengen, en de klachten kunnen aanzienlijk verminderen, of misschien zelfs verdwijnen.

Ik heb toch nog een paar vragen:

1: Is het vervelende gevoel wat zij heeft te beinvloeden door abrupte bewegingen van het hoofd, of bijv van een kleine verhoging af springen, of plotseling vanuit platliggende houding naar zittende houding ?
Als het antwoord ja is, kan de oorsprong ook in de sinus liggen.

2: Is er sprake (of sprake van geweest) van "klemmen" met de kaken ?
Zit er een "tic" in een van de kaakgewrichten bij openen en/of sluiten
van de mond ?
Ik heb het vermoeden dat klemmen en tandenknarsen meedoet in dit hele verhaal, klopt dit ?

Kunt u bitewing foto's plaatsen van de "gezonde" kant en van de linker onderkant ?
ma, 02/07/2011 - 14:12 Permalink
T!EN.

@ Illuminus, dank voor je zeer heldere uitleg hiervan.

Wat ik hieruit opmaak is dat de kans bestaat, gaat men op de plek waar ze last heeft "iets" doen, dat het niks oplost of het probleem juist erger wordt.
De reden dat we naar zoiets zochten is omdat ze na een kleine verdoving op die plek, zich zoveel beter voelt. De druk, of het rotgevoel in haar kaak op die plek neemt zo erg af, en daardoor ontspant haar kaak ook, en kan ze weer lachen. Ook de weet dat de pijn weg kan zijn geeft haar hoop, en daardoor kan ze er weer tegenaan. De huisarts had het over een eventuele zenuwblokkade, als dat kon op die plek… Ik heb geen idee eigenlijk wat dat precies inhoud.
di, 02/08/2011 - 01:16 Permalink
T!EN.

@ Paramedic, ze geeft de hele tijd aan dat ze druk voelt in haar hoofd, druk ook richting oor, maar dan van binnenuit. Alsof haar oor dicht zit, maar toch erg goed hoort juist. Zo goed, dat bepaalde geluiden haar behoorlijk irriteren. Tja, zo beschrijft ze het… Al is dat in de 2 en een half jaar dat ze hiermee rondloopt een heel stuk minder geworden. Net als de druk in haar hoofd, dat is ook erger geweest. Morgen zal ik haar eens laten springen, kijken wat ze dan zegt.

Kaakklemmen doet zeker mee. Ik weet dat ze een tijd een bitje heeft gedragen en zelfs stukgebeten. Hoe dit precies zit moet ik ook even navragen.
Ik heb nog een aantal afbeeldingen van de scan online gezet, en een overzichtsfoto, die een paar maanden na de WKB is gemaakt. >>http://3dscan.jalbum.net/x-ray-scan/<<
Daarmee is ze naar de kaakchirurg geweest omdat de tandarts dacht aan een kaakholte ontsteking. Hoe dit verder is verlopen moet ik ook even op een rijtje zetten.
Zoals ik al eerder zei, het is een lang verhaal.

Toch ben ik erg blij dat jullie de moeite nemen alles te lezen en te reageren!
di, 02/08/2011 - 01:51 Permalink
Paramedic

Ook de weet dat de pijn weg kan zijn geeft haar hoop, en daardoor kan ze er weer tegenaan.
.

Hallo T!EN, alvast een antwoord op bovenstaande. Heel begrijpelijk als je al zolang met deze klacht rondloopt !
Een blokkade van de zenuw is in principe mogelijk, maar dat is een stap verder in de behandelings strategie. De eerste stap is het voorschrijven van een middel wat de zenuw tot rust brengt, en dat hebben ze dus gedaan. De werking van dit middel (amitriptyline) welke het op neuropathische pijnklachten heeft, is bij toeval ontdekt, en wordt nu dus niet voorgeschreven ivm een vermeende depressie.
Heb wat meer vertrouwen in de mensen van de pijnpoli. Als de amitriptyline niet het gewenste resultaat geeft, zullen zij verder het behandel-protocol instappen. Een andere pijnpoli zal dezelde weg bewandelen.
di, 02/08/2011 - 15:20 Permalink
T!EN.

Hoi Paramedic,
het hele verhaal is nog complexer, ik weet eigenlijk niet hoe ik er een duidelijk beeld van moet schrijven.
Maar ik ga mijn best doen, al zal het wel even duren voor ik alles op een rijtje heb, in het kort.

Bij deze alvast antwoord op vraag 2:
Ze voelt eigenlijk constant druk op die plek, als ze springt blijft die druk, als ze iets zwaars tilt lijkt het erger, en ook als ze voorover bukt.
Het tandvlees is daar nooit ontstoken geweest, ook niet dik aan de buitenkant of rood of zo. Toen de kies er nog zat had ze wel het idee dat er een vreemde smaak daar vandaan kwam, maar ook dat was onmogelijk volgens de tandarts. De zijkanten van de kaak zijn niet gevoelig, alleen de plek waar de kies heeft gezeten en daarboven. Als ze kon zou ze er zo in willen krabben, steken, zuigen of iets weghalen zegt ze, maar er zit niks.

Later meer.
Groetjes T!EN.
di, 02/08/2011 - 22:05 Permalink
T!EN.

Het wordt hem vandaag niet meer Paramedic.
Wel nog even vermelden dat na zo'n 15 x achter elkaar omhoog springen het vreemd aanvoelt, wederom op "die" plek,
al weet ze niet hoe ze dat gevoel nu weer moet omschrijven.
Druk of jeuk, jeuk en druk, zit daar iets dat door elkaar geschud kan worden in die holte?
Ze weet het niet meer, maar het wordt er niet aangenamer op zegt ze.

Goede nacht, groet T!EN.
wo, 02/09/2011 - 00:14 Permalink
vV

Ze weet het niet meer, maar het wordt er niet aangenamer op zegt ze.

misschien even ophouden met eigenwijs te zijn, en de voorgestelde therapie met de Amytr. volgen? bevalt het niet kan het altijd weer afgebouwd en gestopt. de dosis is over het algemeen zeer laag, 25mg tot 50mg.
Zijn namelijk gewoon goede resultaten mee geboekt....
wo, 02/09/2011 - 08:25 Permalink
Paramedic

dat na zo'n 15 x achter elkaar omhoog springen het vreemd aanvoelt,


15 x maar ?, da's ook niks ! :wink:
Nee, als er echt iets met de sinus aan de hand zou zijn zou ze er na 1 a 2 keer al schoon genoeg van hebben !


Mijn mening.
Er wordt gewoon teveel bij gehaald.


Mee eens !, ik stop met vragen.
wo, 02/09/2011 - 11:11 Permalink
T!EN.

Mijn mening.
Er wordt gewoon teveel bij gehaald.

Ook mijn mening.
Iets irriteert in de kaak, geeft pijnprikkel, daardoor gaat ze klemmen en daardoor heeft ze nu waarschijnlijk ook hyperacusis.
That's it. Op naar de pijnpoli maar weer dan!

Hartelijk dank allen voor het meedenken en uitleg van het een en ander!

Groetjes T!EN.
wo, 02/09/2011 - 12:10 Permalink
T!EN.

Hallo beste mensen,

even een tussenstand voor de geinteresseerden, helaas nog geen uitkomst.
Ze is bij een pijnpoli geweest en heeft inmiddels een facetdenervatie behandeling ondergaan.
Nu is het afwachten of dat voor haar uitkomst bied. (2-3 maanden staat er voor eventueel effect)
De behandelend arts bevestigde haar mening dat het geen trigenimus neuralgie is.
Wel een vorm van aangezichtspijn, maar niet van die zenuw als ik het goed begrijp,
of niet die vorm in ieder geval. Ook wilde hij niet ontkennen dat er wellicht iets mis is gegaan bij de tandarts,
maar het kon zijn dat dit niet overging doordat ze al lange tijd met nekklachten loopt…
Tja, het is wat, dat zenuwstelsel…

Nu maar hopen dat dit iets uithaalt en anders moet er dan weer verder gekeken worden.
Het steeds wachten valt haar erg zwaar, maar er zit niks anders op.

Excuses voor mijn late reactie, maar er viel ook niks nieuws te melden.
Groetjes T!EN.

Ik heb even een nieuw account aangemaakt, want ik wist mijn wachtwoord niet meer, en mijn emailadres werd niet herkend…?
do, 06/02/2011 - 01:14 Permalink
djeena

Ik haal dit topic maar naar boven omdat ik met soortgelijke klachten zit. Eind 2019 is er een kroon geplaatst. Degene die er zat was oud en moest vervangen worden. Achteraf gezien kan ik zeggen dat de pijn is ontstaan na het weg- of dichtbranden van het tandvlees. Na een hele lange zoektocht en de tandarts waar ik al 30 jaar kom mij als een zeurpiet ging zien, heb ik een andere tandarts gezocht. Ik ben overal geweest, ook bij de neuroloog en uiteindelijk als laatste bij de pijnpoli. Mijn probleem is niet alleen dat de pijn in de behandelde kies zit, maar zich heeft uitgebreid naar alle elementen. Soms is het pijn, soms is het echte zenuwpijn. Ook breidt het zich uit naar mijn hals en middenrif als de pijn op z'n hevigst is.

Wat ik heel erg vind is dat ik helemaal niet goed reageer op de medicijnen. Ik heb er een aantal geprobeerd maar de bijwerkingen zijn te heftig.
In overleg met de pijnpoli ben ik gestopt met het proberen van de medicatie.

Ik lees dat de zenuwen tot rust komen door de medicijnen.

De arts van de pijnpoli weet niet of het ooit nog overgaat. Toen ik vorige week bij hem was vroeg ik of het zinvol was alsnog de kroon te verwijderen.
Nadeel is dat er dan toch weer een nieuwe op moet. Hij zei; ik ben geen tandarts, dat weet ik niet.

Heeft 1 vd tandartsen een suggestie?

Hoe kijkt u er tegenaan of het ooit nog overgaat?

Vriendelijke groet,
Djeena
zo, 05/22/2022 - 12:30 Permalink
djeena

Ik stuur het maar vast.

de foto's zijn van okt/nov 2020 en de cbct van juni 2021.

Ik kan al die tijd niet meer goed eten. Althans geen harde dingen. Koud en warm lukt ook niet. Mijn gezicht is daardoor ingevallen.
Mijn moeder heeft een kunstgebit en ik heb mij altijd voorgenomen niet zover te komen. Ik heb veel kronen en vullingen, toch doe ik er alles aan mijn gebit te kunnen behouden. 2x per jaar naar de tandarts, 4x per jaar naar de mondhygiëniste wat geen pretje is nu met die overspannen zenuwen. Na het schoonmaken ben ik echt een dag ziek van de pijn. Ik heb ooit gordelroos gehad. Ik ken dus de zenuwpijn. Deze heb ik nu in mijn mond.


Djeena
zo, 05/22/2022 - 15:24 Permalink
Tandarts_Richa…

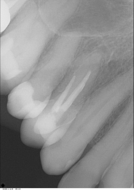
Welke kroon is als laatste geplaatst?. Als het de 16 is dan zou ik op basis v d tweede foto zien dat aan een v d mesiale ( voorste wortel) een ontsteking is. Excuseer als ik het fout zie, ik moet het doen met wat u mij levert. Wortelpunt v d 14 is voor mij ook verdacht. Koud en warm alleen in die kies of meerdere, dat is verwarrend maar kan verklaard worden doordat een kanaal "dood" is en de andere nog niet. Ik zou in de 16 proefboren zonder verdoving. Als er geen gevoel in is dan een wortelkanaal behandeling. Maar als er toch gevoel in zit geeft dat geen uitsluitsel. Ik zou beginnen met een WKB in de 16. U bent overal geweest zegt u. Wat was het oordeel v d endodontoloog.
zo, 05/22/2022 - 21:20 Permalink
Tandarts_Richa…

Ik heb een verzoek. U plaatst vaker vragen op dit forum. Wij zijn blij met elk vraag. Het zou voor de lezers meer waarde hebben als ook een eindconclusie / uitkomst bij vermeld wordt door de vraagstellers.
zo, 05/22/2022 - 21:59 Permalink
djeena

Als antwoord op door Tandarts_Richa…

goedemorgen. Sorry, ja dat zal ik zeker doen in het vervolg, een uitkomst vermelden. Ik zal mijn laatste vraag opzoeken en alsnog een antwoord geven.

Ik ben nu bij een andere tandarts en hij heeft mij doorgestuurd naar een endodontoloog. De nieuwe tandarts zegt dat er niets met mijn gebit is. De endodontoloog bevestigt dat en zegt dat ik last heb van sensitisatie/neuropatische pijn. Het gaat om kies 15. De pijn zit nu in alle elementen, echte zenuwpijn. Omdat ik niet tegen de medicijnen kan is mij verteld dat ik ermee moet leren leven. Ik zie zelf dat het tandvlees rondom de nieuwe kroon rood en dik is, dat was nooit zo. Voor mijn 'zicht' is de kroon ook te groot maar blijkbaar zijn de contactpunten goed. Toch zegt mijn gevoel dat het daar niet klopt, anders zou het tandvlees niet dik zijn.

Daarom mijn vraag, als de kroon eraf gaat is er dan kans dat de zenuwpijn verdwijnt of is het leed al geschied?
ma, 05/23/2022 - 07:12 Permalink
djeena

Ik was vorig jaar van plan nog een keer terug te gaan naar de endodontoloog om de vraag over de kroon te stellen. Hij heeft mij zeer goed en aardig geholpen. Maar terwijl ik met die gedachte speelde, zag ik zijn overlijdensadvertentie in de krant! Veel te jong overleden (Michiel de Cleen r.i.p.).

Omdat ik er weinig voor voel van de 1 naar de ander te hollen besloot ik gisteren mijn vraag op dit deskundige forum te plaatsen.
ma, 05/23/2022 - 08:01 Permalink
Tandarts_Richa…

Je was bij een topper, Michiel. Je kunt natuurlijk de kroon voorzichtig laten aftikken ( risico dat een deel v d kies eronder afbreekt), en dan even met een zeer goed passende noodkroon doorgaan. Kijken of dat verschil maakt. Zo niet dan weet je dat het waarschijnlijk niet v die kroon komt. Je kunt ook nogmaals advies vragen bij de endodontoloog in Den Bosch....is dat dicht bij de woonplaats. Misschien dat nu wel iets te zien is.
ma, 05/23/2022 - 18:54 Permalink
djeena

Als antwoord op door Tandarts_Richa…

Dat vind ik wel een goed idee. Ik heb inmiddels op internet gevonden dat de 'oude' assistente van Michiel bij een andere endodontoloog werkt. Iemand die Michiel heeft gekend. Den Bosch is mij iets te ver. Ik ga eerst maar eens terug naar de tandarts, ik zal toch een verwijzing moeten vragen.
Mijn vorige tandarts kon weleens wat ruw zijn, de nieuwe is heel zachtaardig en daar durf ik het aftikken wel aan.

Ik laat het weten. Bedankt zover.
di, 05/24/2022 - 15:07 Permalink
djeena

Inmiddels heb ik mijn rondje tandarts/endodontoloog weer gehad. Ik ben niets wijzer geworden. Het aftikken is niet noodzakelijk zegt de tandarts.
Ik heb wel weer een doorverwijzing voor de pijnpoli, ik heb contact gehad met de arts waar ik al eerder was. Ook hij kan niets meer voor mij betekenen helaas. Hij heeft een collega die is gespecialiseerd in aangezichtspijn. Dat heb ik niet, ik heb last van
sensitisatie. Omdat het spoor nu dood loopt, stelt hij voor daar toch een keer mijn licht op te steken. Ik heb 13 augustus een afspraak. Ik verwacht er niets van, maar ik ga er toch heen.
wo, 07/27/2022 - 16:09 Permalink
djeena

Beste tandarts Richard,

Uw woorden bleven maar door mijn hoofd spoken; de kroon eraf tikken. De tandarts was er niet voor. Maar jeetje, ík loop met de pijn. Ik besloot vanochtend te bellen en ik heb nu een afspraak voor 30 augustus om de kroon eraf te halen. Ook al heeft niemand het er ooit over gehad, ik neem dit forum zeer serieus en het is de moeite waard te proberen. Dan maar een poosje met een noodkroon. Ik eet toch heel voorzichtig want het eten is heel moeilijk. En als ik het niet probeer, zal ik het nooit weten.
vr, 07/29/2022 - 14:10 Permalink
Tandarts_Richa…

Ik kan mij voorstellen dat uw tandarts terughoudend is. Er kleven risico's aan het aftikken. nml dat de basis waarop de kroon gemaakt is factureert. Maar dat is de risico...Dat weet u nu. Bij breuk dan pas beoordelen hoe verder... Zou zelfs kunnen lijden tot een worttelkanaalbehandeling of een gehjeel nieuw kroon.
za, 07/30/2022 - 22:42 Permalink
djeena

Omdat ik weet dat er een risico is bij het aftikken, ga ik zeker ook overleggen of er sowieso een nieuwe kroon op komt. Dan blijft de basis veilig. Als ik de kroon bekijk is deze erg groot in tegenstelling tot andere premolaren en is zeker groter dan de vorige kroon. De nieuwe kroon was ook te lang, is door een eerdere tandarts bijgeslepen. Het tandvlees rondom is heel dik, dat heb ik nergens. Ik heb al 30 jaar de hoogste tandartsverzekering, omdat ik altijd wel wat heb, dus vind ik het de moeite waard. Heel soms denk ik; zou ik de kroon van iemand anders hebben gekregen........

Bedankt voor het meedenken!
zo, 07/31/2022 - 10:43 Permalink