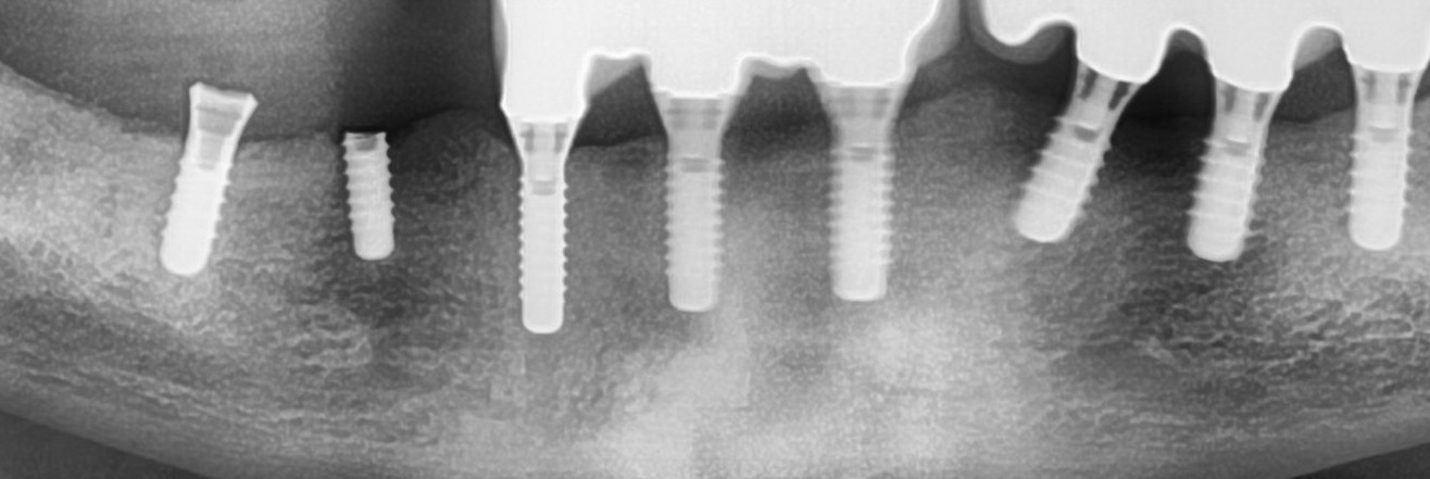
Bij het vast draaien van de boutjes van een brugvan 3 kiezen op 2 implantaten werd ( te ! ) veel kracht gezet en brak van een implantaat het bovenste deel af en het andere (achterste) bovenste deel vertoonde scheurtjes.
De (Straumann) implantaten zijn geïmplanteerd in 2003 en de 3 bruggen in 2018 (met bijplaatsen van 3 implantaten).
De implantaten zitten goed in het bot en de breuk zit gelijk met bovenkant bot.
Deze kunnen niet verwijderd worden omdat ik niet mag stoppen (tijdelijk?) met mijn anti-stolling medicijn en erg tegen verwijderen en nieuwe implantaties op zie.
Er moet toch een goede oplossing zijn om die grotendeels goede implantaten te benutten ?
Nu zit ik met een slecht passend klikgebit en een tandarts die geen verantwoording op zich neemt.
De (Straumann) implantaten zijn geïmplanteerd in 2003 en de 3 bruggen in 2018 (met bijplaatsen van 3 implantaten).
De implantaten zitten goed in het bot en de breuk zit gelijk met bovenkant bot.
Deze kunnen niet verwijderd worden omdat ik niet mag stoppen (tijdelijk?) met mijn anti-stolling medicijn en erg tegen verwijderen en nieuwe implantaties op zie.
Er moet toch een goede oplossing zijn om die grotendeels goede implantaten te benutten ?
Nu zit ik met een slecht passend klikgebit en een tandarts die geen verantwoording op zich neemt.
En een nieuw brug vast…