Hallo,
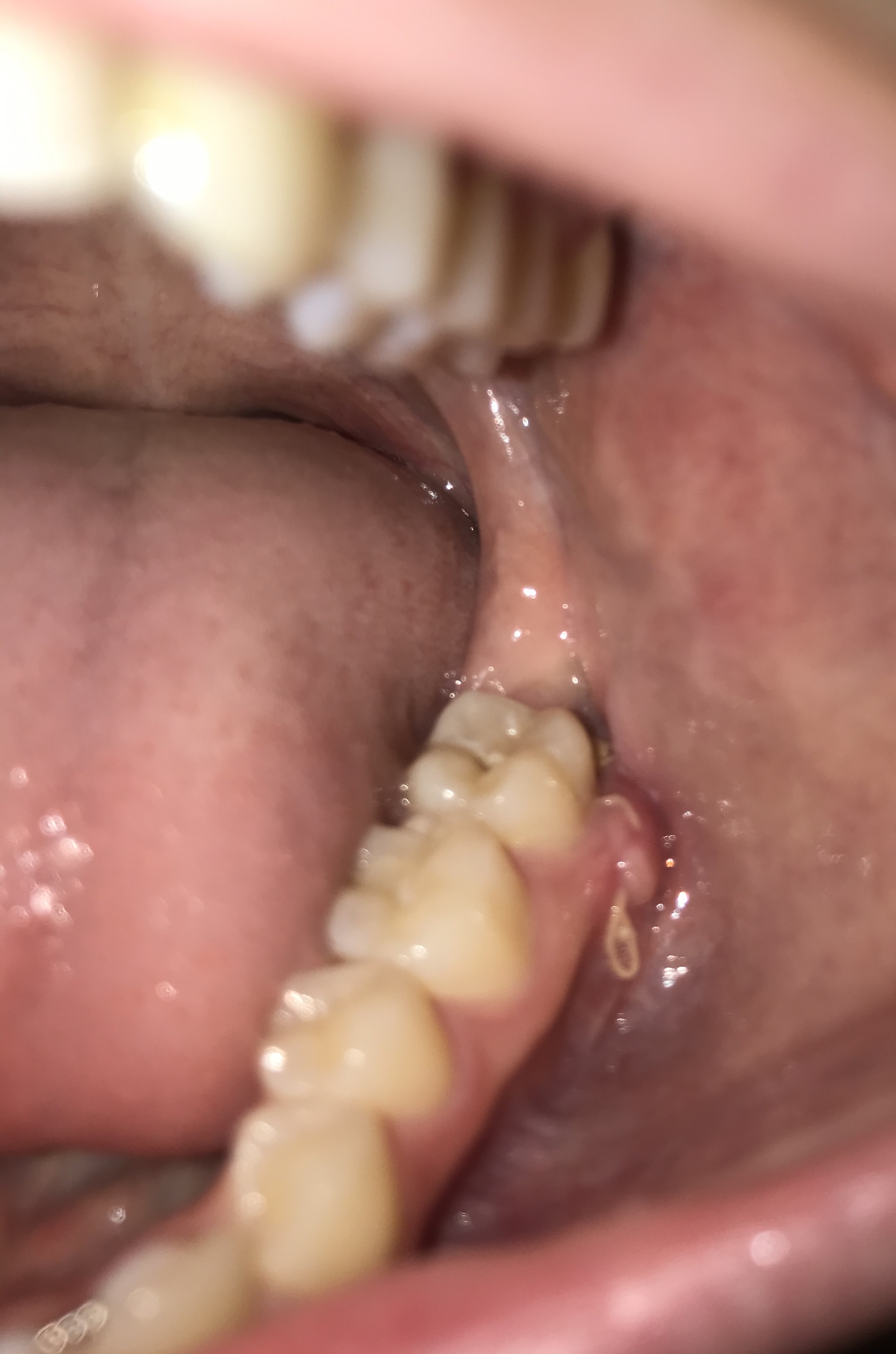
twee weken geleden heb ik 3 verstandskiezen aan de linker kant laten trekken, 2 van boven en 1 onder bij de kaakchirurg. De behandeling ging goed, ik heb er nu alleen nog een bult zitten met een hechting erin. De bult zit niet op de plek waar mijn verstandskies heeft gezeten maar onder de kies die daarvoor zit, een paar dagen nadat ze getrokken waren viel het mij op.
Het doet geen pijn meer, tot een paar dagen geleden was het wel pijnlijk en gevoelig als ik er op drukte maar dat is nu niet meer zo.
De bult heeft dezelfde kleur als mijn tandvlees, bij de rand wat roder dan derest. Verder is het niet heel groot maar het valt wel op als je er naar kijkt, de bult voelt een beetje hard aan en kan het ook niet indrukken.
Ik vroeg mij af wat dit misschien kan zijn en of ik mij hier zorgen over moet maken en terug moet gaan naar de kaakchirurg. Een maand geleden heb ik mijn rechter verstandskiezen, ook weer 2 boven en 1 onder (ja, ik had er 6 haha) laten trekken en daar waren mijn hechtingen er al binnen een paar dagen uit en is er geen bult ofiets ontstaan.
Wat denken jullie?
Alvast bedankt!
Groetjes,
twee weken geleden heb ik 3 verstandskiezen aan de linker kant laten trekken, 2 van boven en 1 onder bij de kaakchirurg. De behandeling ging goed, ik heb er nu alleen nog een bult zitten met een hechting erin. De bult zit niet op de plek waar mijn verstandskies heeft gezeten maar onder de kies die daarvoor zit, een paar dagen nadat ze getrokken waren viel het mij op.
Het doet geen pijn meer, tot een paar dagen geleden was het wel pijnlijk en gevoelig als ik er op drukte maar dat is nu niet meer zo.
De bult heeft dezelfde kleur als mijn tandvlees, bij de rand wat roder dan derest. Verder is het niet heel groot maar het valt wel op als je er naar kijkt, de bult voelt een beetje hard aan en kan het ook niet indrukken.
Ik vroeg mij af wat dit misschien kan zijn en of ik mij hier zorgen over moet maken en terug moet gaan naar de kaakchirurg. Een maand geleden heb ik mijn rechter verstandskiezen, ook weer 2 boven en 1 onder (ja, ik had er 6 haha) laten trekken en daar waren mijn hechtingen er al binnen een paar dagen uit en is er geen bult ofiets ontstaan.
Wat denken jullie?
Alvast bedankt!
Groetjes,
Tja...moeilijk te zeggen..het
Als antwoord op Tja...moeilijk te zeggen..het door Lieneke
Tja...moeilijk te zeggen..het
Nu inmiddels alle hechtingen eruit zijn voel ik ook een bult helemaal linksbovenin, volgensmij op de plek waar mijn bovenste verstandskies heeft gezeten.. Ik kan die bult niet zien omdat hij helemaal bovenin/achterin zit, voelt wel hetzelfde aan als de andere bult.
update
bult zit er nogsteeds en niet veranderd. Geen last ervan. Zonet terug proberen te bellen naar de kaakchirurg maar de poli zit dicht ivm vakantie, tandarts proberen te bellen maar die zit ook dicht.. Ik kan er alleen terecht voor spoedgevallen maar dat van mij lijkt me geen spoedgeval omdat ik er geen last van heb.
Heb zelf een paar dingen uitgezocht op internet omdat ik me op een of andere manier toch een beetje zorgen maak, zeker na de dingen die ik lees op internet.
24 augustus gaan ze weer open, heb me voorgenomen om dan gewoon te wachten en dan te bellen als de bult er nog zit. Wanneer het echt pijn gaat doen wellicht contact opnemen voor spoedgeval, maar lijkt me niet.
Groetjes,
Update
Zou het laten beoordelen