Nadat mijn beugel er vorige week uit is gegaan ben ik vandaag bij de tandarts geweest. Ruim 2.5 jaar bij preventieassistente van hem gelopen en de tandarts nooit gezien. Alles leek goed totdat er een foto gemaakt werd waarop zichtbaar werd dat ik twee gaatjes tussen de voorlaatste kiezen had. Hij stelde voor om dit met een porseleinen vulling op te lossen. De gaatjes waren volgens hem te groot om een normale vulling te plaatsen; deze zou er dan ook gauw weer uitvallen?
Ik heb een begroting meegekregen waarop de volgende codes staan vermeld:
G10 - Beetregistratie, eenv. quick mount
R25 - Kroon, partiele omslijping keramiek (waarom heet het een kroon, terwijl hij het heeft over een vulling?)
Materiaal en techniekkosten
T82 - Gingivectomie per element (ik vraag me af wat dit is en waarom dit nodig is??)
X10 - Bitewing foto
In totaal moet dit ruim 1200 euro gaan kosten!
Ik vraag me af hoe jullie hier over denken. Een gewone vulling van composiet is een stuk goedkoper. Ik vraag me af of dit echt niet mogelijk is en of het met porselein echt mooier gaat worden. Zul je ook iets zien van de kronen en er pijn aan kunnen hebben?
Ik twijfel of ik een second opinion door een andere tandarts moet laten doen. Vind het namelijk heel wat.
Tevens vraag ik mij af of het hun fout is geweest door pas na 2.5 jaar nadat mijn beugel eruit is gegaan een foto te maken van mijn gebit. Als de gaatjes eerder waren ontdekt, was het misschien een stuk makkelijker op te lossen geweest.
Ik heb een begroting meegekregen waarop de volgende codes staan vermeld:
G10 - Beetregistratie, eenv. quick mount
R25 - Kroon, partiele omslijping keramiek (waarom heet het een kroon, terwijl hij het heeft over een vulling?)
Materiaal en techniekkosten
T82 - Gingivectomie per element (ik vraag me af wat dit is en waarom dit nodig is??)
X10 - Bitewing foto
In totaal moet dit ruim 1200 euro gaan kosten!
Ik vraag me af hoe jullie hier over denken. Een gewone vulling van composiet is een stuk goedkoper. Ik vraag me af of dit echt niet mogelijk is en of het met porselein echt mooier gaat worden. Zul je ook iets zien van de kronen en er pijn aan kunnen hebben?
Ik twijfel of ik een second opinion door een andere tandarts moet laten doen. Vind het namelijk heel wat.
Tevens vraag ik mij af of het hun fout is geweest door pas na 2.5 jaar nadat mijn beugel eruit is gegaan een foto te maken van mijn gebit. Als de gaatjes eerder waren ontdekt, was het misschien een stuk makkelijker op te lossen geweest.
Re: Partiële kroon?
Dat een preventieassistente blijkbaar controles heeft gedaan vind ik dus niet deugen...is niet opgeleid voor diagnostiek. Dus voldoende basis voor discussie lijkt mij ja.
Re: Partiële kroon?
Re: Partiële kroon?
Re: Partiële kroon?
Het gaat inderdaad om Cerec, hij heeft zelf zo'n apparaat. De gaatjes waren inderdaad alleen te zien op de foto, hij zag ze zelf eerst niet. Pas toen hij ze had gezien op de foto, beweerde hij ze ook zo te kunnen zien? Zou een composietvulling volstaan dan?
Maar ik zou graag willen weten wat er op Cerec tegen is dan? Wordt dit minder mooi?
Wat kan ik nu het beste doen? Naar een andere tandarts gaan?
Robinson, wat bedoel je met PNO als ik vragen mag?
Re: Partiële kroon?
Re: Partiële kroon?
Die begroting is 1 groot onzinverhaal. daarnaast kan dit gewoon met composiet.
Ik durf zelfs de bewering aan dat er geen indicatie voor cerec inlays/onlays (meer) bestaat met de huidige stand van zaken met composiet. Die ook bij grotere restauraties zeer lang meegaan, mits goed gelegd uiteraard maar dat geldt voor elke techniek.
Re: Partiële kroon?
Re: Partiële kroon?
Wordt het met composiet net zo mooi als met die Cerec inlay? Zit je dan niet met de vorm van de kies?
ALs die begroting werkelijk onzin is, twijfel ik of ik deze tandarts dan uberhaupt nog wel wil. HIj is mij aangeraden door mijn ortho:S
Re: Partiële kroon?
Re: Partiële kroon?
Re: Partiële kroon?
Beetje tegenstrijdige berichten hier over CEREC. zal uiteindelijk wel een keus moeten maken. De tandarts had het erover dat het binnen een week wel gevuld moest worden, omdat het anders alleen maar groter zou worden.. Moet eerlijk zeggen dat ik de foto niet heb gezien..
Wat zou er van de begroting af moeten worden gehaald? Beetregistratie en gingivectomie??
Re: Partiële kroon?
Nee, de enige spoed is dat ie waarschijnlijk een cashflow probleem heeft en het wat spannender maakt dan nodig. En die Cerec kost ook geld, dus stilstaan = verlies!
Re: Partiële kroon?
Re: Partiële kroon?
Mij maakt het persoonlijk niet zoveel uit, als het maar goed gebeurt en goed staat. Ik heb geen zin om een vulling te laten plaatsen als het daarna alsnog moet via CEREC eigenlijk.
Dus als het via CEREC mooier gaat worden, kies ik daar liever voor, maar als het resultaat hetzelfde is met een gewone vulling, vind ik dat ook prima.
Wat bedoelen jullie met hoe de zenuw reageert op de vulling? Is dat niet gelijk bij een gewone vulling en CEREC dan of hoe moet ik dat zien.
Re: Partiële kroon?
Re: Partiële kroon?
Ook snap ik niet goed hoe je dat bedoelt met de financieel verantwoordelijke mocht het niet goed gaan. Bij een vulling is dat de patient en bij een kroon de tandarts? Is dat juist niet gunstig dan?
Re: Partiële kroon?
Hij bedoelt eerst een gewone vulling en dan kijken wat je zenuw doet. Blijft het stabiel dan kun je na een jaar ofzo ( nu gis ik maar wat aangezien ik geen tandarts ben) alsnog een andere duurdere oplossing nemen.
Ik vind persoonlijk €1200 voor een cerec onlay/inlay wel erg veel geld en voor minder heb je een hele mooie kroon.
Ikzelf maak ook wel een inlays en onlays van composiet en die word dan op een tandtechnisch lab gemaakt en zelfs dan ben je incl. tandartskosten veel en veel minder kwijt dus dat zou ook nog een optie kunnen zijn, al is dit wel weer duurder dan een gewone vulling.
Re: Partiële kroon?
Ik denk dat ik morgen het TIP ga bellen voor een second opinion bij een andere tandarts. Verstandig?
Re: Partiële kroon?
Je hebt mensen die rijden in een VW golf en mensen die rijden in een Rolls Royce. Allebei komen aan, allebei volstaan om iets te overbruggen. Maar je hebt horses for courses. Kortom, je maakt een keus voor goed, beter of best. En 600 voor een Cerec is gewoon 150 euro te veel.
Met verantwoordelijkheid bedoel ik dat je geen dure voorzien plaatst als je twijfel hebt over de toekomst (op korte termijn) van een tand. Je zet ook geen nieuwe banden onder een auto die de APK waarschijnlijk niet gaat halen volgende week
Re: Partiële kroon?
Financiën zijn overigens geen probleem.
Toch vreemd, dat een tandarts om geld te scoren, mij aan dure cerecs wil helpen :cry:
Re: Partiële kroon?
Er zijn meerder wegen naar Rome :wink:
En hoewel ik geen tandarts ben vind ik een vulling geeneens zo'n slecht alternatief. En laat die vulling een tijdje zitten en kijk eens of je geen zenuwbehandeling nodig hebt zoals al eerder hier in dit topic door een tandarts is gemeld. Zou toch echt zonde zijn om je dure cerec vullingen kapot te laten boren voor een zenuwbehandeling. Dat het geld voor jou geen probleem is fijn maar daar kun je ook andere leuke dingen meedoen, of later alsnog een duurdere optie kiezen.
Re: Partiële kroon?
Komt het vaak voor dat je last krijg van de zenuw in de tand na het plaatsen van vullingen en of CEREC vullingen?
En als ik nu de gewone vullingen neem en later alsnog de CEREC neem, hoe kan de originele vorm van mijn kies dan nog achterhaald worden?
Re: Partiële kroon?
Re: Partiële kroon?
ad 1.Komt niet vaak voor maar het is ook niet zeldzaam. Het is dus iets om wel rekening mee te houden. Hoe groot de kans is hangt sterk af van de situatie en is dus niet hier in te schatten.
ad 2. Als de originele kies is gerestaureerd is die het uitgangspunt voor de Cerec-behandeling. Bij het maken van een Cerec-kroon wordt gewoon een nieuwe vorm gemodelleerd door de tandarts volgens mij, die past bij de rest van je gebit. Misschien bestaat de mogelijkheid dat de tandarts een foto neemt of een (digitale) afdruk en daar dan rekening mee houdt. Dat weet ik eerlijk gezegd niet.
Re: Partiële kroon?
als ie zich dat Cerec ding heeft aan laten smeren moet ie 'm toch terug verdienen toch? En je indiceert heel snel naar de dingen die je hebt. Implantaat boor in huis.......meer kans op indicatie implantaat, MH in huis........iedereen langs de MH en zo ook de Cerec, de OPT en bij dat soort zaken denk ik altijd: wat is in het belang van de patient, hoe zat die eed van Hypocritus (jajaja, met opzet zo) in elkaar en wat waren de laatste woorden bij de Volvo dealer: kom zo'n setje televisies in de hoofdsteun is toch echt een must op vakantie!! (=2400 euro). En dat moet ergens vandaan komen.
Niet elk voorstel wat goedkoper kan is ook beter, maar gelet op de begroting is ie gewoon naar het apparaat toe aan het indiceren
Re: Partiële kroon?
Ik ben nu wel een beetje bang dat hij niet echt iets moois kan maken met composiet, aangezien hij alles doet met zijn CEREC apparaat.
Re: Partiële kroon?
Een cerec inlay ziet er heus niet verkeerd uit ,daarin tegen een composiet vulling kan er ook goed uitzien.
Re: Partiële kroon?
Overigens word u als patient hiermee wel ingeperkt in uw keuzevrijheid, hij hoort alternatieven te bieden als die er zijn, en die zijn er. legio zelfs. en zeker goedkoper, en ook niet slechter.
als ik dit zo lees: wegwezen daar...
Re: Partiële kroon?
Als ik het te duur vond kon ik eerst ook 1 CEREC nemen en een noodvulling in het andere gat, zodat ik die volgend jaar kon laten doen :wink:
Maar het verbaast me eerlijk gezegd wel dat hier niet zo positief wordt gereageerd op CEREC, op internet hoor je lovende verhalen en een aantal tandartsen bij mij in de buurt werken er ook mee :(
Erg duur is het wel inderdaad, maar ik heb gelezen dat ze wel de vorm van je kies precies na kunnen maken, en het er natuurlijk uitziet, kan dit met composiet dan ook? Lijkt me een stuk lastiger toch?
Re: Partiële kroon?
Dan heb je nog het feit dat slijtage van composiet gunstiger is dan van keramiek, zeker voor de tegenoverliggende kies.
100,- voor een vulling, dan is het een grote.
Ben inmiddels eigenlijk wel heel erg benieuwd naar foto`s....
Dat er meerdere tandartsen in de regio zijn met cerec : kan zijn dat ze collectief hebben ingekocht met korting....
Ken er ook een aantal: 1 staat in kantoor en word eigenlijk niet gebruikt was even een te impulsieve aankoop van praktijkeigenaar, een tweede is inmiddels al verkocht om dezelfde reden, en nummer 3 heeft toch wel heel veel startproblemen en inmiddels steeds meer vraagtekens bij correcte indicatie..
Re: Partiële kroon?
Vandaag of morgen ga ik bellen naar het TIP voor een second opinion. Stel je voor dat ik dan weer een tandarts krijg die CEREC gebruikt...
Vv, ik ben wel benieuwd waarom jij zo tegen cerec bent, de hoge kosten buiten beschouwing latend!
Re: Partiële kroon?
Zo zijn er diverse andere technieken welke zeer waarschijnlijk ook nog eens een betere randaansluiting hebben. Bij de cerec word de randspleet opgevuld door het composietcement waarmee geplakt wordt, en is daarmee eigenlijk niet beter dan een gewone vulling. Beetje gechargeerd misschien maar het komt er wel op neer.
het meeste heb ik problemen met collegae die wanneer zij zo`n ding hebben een beetje de indicaties en randvoorwaarden uit het oog gaan verliezen en overal maar een cerec in/onlay in willen maken. Zien we hier eigenlijk ook gebeuren. Wat er aan techniekkosten berekend mag worden is vrij, en ik zie regelmatig dat dit misbruikt wordt om extra winst te genereren, baast het opvoeren van codes die niet van toepassing zijn. Een beetregistratie is onzin, want dat doet het apparaat, heb gezien hoe het werkt en bij een collega gemaakt zien worden. zit in het proces van vervaardiging.
Ook in dit geval word een kroontarief gerekend terwijl het zeer waarschijnlijk inlays zijn (maar daarvoor heb ik foto`s nodig) aangezien ze ontdekt zijn op foto`s en niet op het oog. Nu weet ik neit wat er aan oude vulling inzat etc, dus daar kan ik verkeerd zitten. Maar om een kroontarief te kunnen rekenen is er echt al heel veel van de kies weg, en lijkt een cerec niet de juiste indicatie, in ieder geval niet nu.
Re: Partiële kroon?
Er zitten geen oude vullingen in de kiezen, ik heb nog nooit gaatjes gehad!! Dit worden de twee eerste vullingen :cry:
Waarschijnlijk veroorzaakt door de bandjes die om de kiezen zaten tijdens de beugelperiode, dat er tussenin gaatjes zijn ontstaan. Ik heb ook geen idee hoe groot de gaten zijn, ik heb geen foto's gezien. Ik heb er verder ook geen last van of wat dan ook ...
Wat voor code wordt wel gerekend dan voor een CEREC?
Re: Partiële kroon?
Re: Partiële kroon?
Re: Partiële kroon?
Daar moet je niet zijn voor een second opinion omdat ze daar - naar eigen zeggen - geen mensen hebben die verstand hebben van tandheelkunde maar alleen iets kunnen zeggen over procedures.
Je kunt gewoon elke tandarts hiervoor benaderen, mits een beetje uit de buurt (andere gemeente) zodat hij/zij geen samenwerkingsverband heeft met je tandarts. Het resultaat op schrift laten stellen als je er nog wat mee wilt. En van tevoren nog even goed nadenken wat je precies van de s.o. tandarts wilt weten.
Re: Partiële kroon?
Er zijn geen specifieke codes voor Cerec-restauraties. Wat vV denk ik bedoelt is dat het kroontarief mogelijk ten onrechte is opgevoerd omdat het gaat om een kleine(re) restauratie. Er zijn immers ook tandartstarieven voor indirect gemaakte inlays (eenvlaks, tweevlaks en drievlaks, resp. R11, R12 en R13) die beduidend lager zijn dan het kroontarief (R25). Is hetzelfde als voor elk klein gaatje een composietkroon in rekening wordt gebracht. Dat mag niet.
Naast het tandartstarief heb je ook nog de techniekkosten. Eigenlijk bepaalt de tandarts met cerec zelf wat ie in rekening brengt. En dat is vaak ongeveer het kroontarief heb ik het idee, ongeacht de grootte van de restauratie en de hoeveelheid werk. Dan praten we minimaal over een factor 5 in de kosten.
Op zich is er niet zo veel tegen CEREC in te brengen. Het gaat echter hoe er mee om wordt gegaan en of de juiste indicatie aanwezig is. Als geen inlay of onlay nodig is - en dat is tegenwoordig eigenlijk altijd zo - ga je die niet plaatsen loiuter omdat je zo'n apparaat hebt staan.
Overigens, mijn tandarts kan ook snel kronen van glaskeramiek leveren (dezelfde dagdeel) die met een cerec-achtig proces zijn gemaakt dat bedoeld is voor toepassing in het lab. Dat lab zit om de hoek. Deze kronen worden ook achteraf 'ingekleurd' en op hoge temperatuur "afgebakken". Dat levert een beter resultaat op qua sterkte en esthetiek dan een standaard cerec kroon.
Maar goed, dat raakt een beetje off topic. :D
Re: Partiële kroon?
Jammer dat ik helemaal naar een andere gemeente moet :wink:
Re: Partiële kroon?
Ook van te voren even vragen welke kosten er aan verbonden zijn. Ter indicatie moet je wel op circa 100 euro rekenen.
Re: Partiële kroon?
Tandarts zou zo de fotobestanden moeten kunnen doormailen, op verzoek. Patient heeft immers inzagerecht.
Re: Partiële kroon?
Vorig jaar een composiet vulling laten vervangen na 15 jaar!!! En dan te bedenken dat de kwaliteit van de huidige composieten nog hoger is dan 15 jaar geleden.Ikzelf mag er ook graag mee knutselen maar leg er als technieker gelukkig geen vullingen mee :wink:
Re: Partiële kroon?
Re: Partiële kroon?
Re: Partiële kroon?
Re: Partiële kroon?
Re: Partiële kroon?
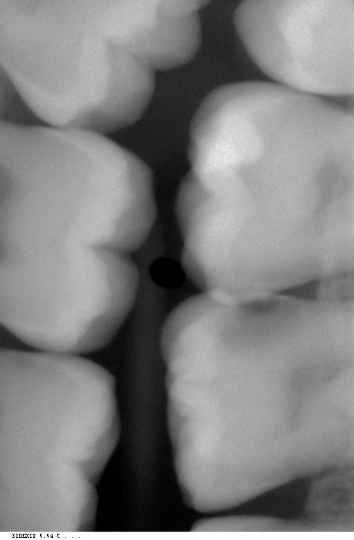
Zou iemand kunnen aangeven hoe ik de gaatjes kan zien op de foto? Ik zie er zelf namelijk niet zoveel aan. ZIe geen halve kies ofzo:P
Re: Partiële kroon?
maar als ie een INLAY gaat maken is R25 helemaal een foute code dan hoort ie R12 te declareren, en dan is die beetregistratie ook gelul in de ruimte want je behoud 80% van het kauwvlak. Ik zeg: weg wezen daar deze meneer declareert met een vork.
een inlay kost 140 euro ex techniek, een kroon 200. Die man vult zijn zakken wel heel makkelijk. En ook nog op een vage manier
Re: Partiële kroon?
Misschien wordt het een tijd voor een gesprek met de tandarts en hem eens uit laten leggen wat ie wel allemaal niet declareert. Ik verwacht er niet veel van maar goed..
Re: Partiële kroon?
eerst weten wat de zenuw gaat doen, dus na vulling een jaartje wachten en foto maken dan waar de hele wortel op staat. Iets wat je voorafgaande aan elke wat serieuzere ingreep gaat doen overigens.
Als ie toch gaat uitleggen, vraag dan gelijk even hoe het komt dat deze gaten niet eerder ontdekt zijn. Want ik heb sterk de indruk dat deze gaten op het oog toch wel al waarneembaar zouden moeten zijn.
eb vraag gelijk even anar het beleid mbt de verstandskiezen voorzover dat nog niet besproken is.