Kroon op levende kies

Author:
MB2025
Posted:
ma, 01/05/2026 - 11:15
Hoe vaak wordt er een kroon op een levende kies gezet wanneer er geen problemen zijn met de kies maar er wel een grote vulling in zit? Hoe vaak is er daarna alsnog een wkb behandeling nodig omdat bij het afslijpen de zenuw geïrriteerd raakt? Ik ben bij een kliniek geweest in zuid Limburg waar ze implantaten zetten voor een voordelige prijs voor een implantaat ter vervanging van de 36 en 46 maar ze willen dan meteen de achterste kiezen 37 en 47 ook bekronen omdat het beter zou aansluiten op de kroon dus beter schoon te maken volgens hen en omdat daar toch al een grote vulling in zit. Ik heb hier zelf wel wat moeite mee want ik heb geen last van deze vullingen nu en wil graag de cyclus van deze elementen nog wat verlengen door niet nu al te starten met kronen daar. Bovendien als de zenuw geïrriteerd raakt en ik wkb moet dan moet ik ook weer op en neer zuid Limburg rijden, wat niet naast de deur is voor mij.
Tandarts_Richa…

Ik zou graag willen dat men eerder mijn advies voor een kroon opvolgt zodat ik idd op een "levende"kies een kroon kan plaatsen . Dat voorkomt vaak veel ellende. Maar ondanks tijdig plaatsen v e kroon kan het voorkomen dat de zenuw alsnog sterft waardoor een wortelkanaalbehandeling gedaan moet worden.
Als een contact punt v e implantaatkroon goed gemaakt wordt hoeft de kies ernaast niet bekroond te worden. Men kan de contactvlakken v d 37/47 prima polijsten.Prima schoon te houden. Maar als de 37 en 47 al een indicatie kroon hebben dan is het makkelijker dat gelijk te doen. Hoe is de conditie v d 45/35. Als die ook een grote vulling hebben en ook de 37/47 grote vullingen hebben, indiceer ik vaak een brug...is goedkoper. Een 3 delig brug kost iets meer dan een enkel implantaat plus kroon. Maar in welk uithoek woont u dat daar geen tandartsen zijn die dit ook kunnen doen. En als u dit enkel overweegt vanwege de prijs moet u ook het heen en weer rijden incalculeren en de extra tijd dat u ermee kwijt bent. Implantaat plaatsen...3 maanden later de healing..dan de afdruk.... dan het plaatsen en eventuele reizen voor mogelijke correcties. Er zijn ook een fase implantaten maar dan moet u toch een paar keer heen en weer. Maar ja voor kwaliteit , die u denkt in uw omgeving niet te hebben, wil u graag reizen.
ma, 01/05/2026 - 14:05 Permalink
MB2025

Mijn eigen tandarts heeft de kronen niet genoemd op 37/47 wel dat ik implantaten moest krijgen op 36/46 maar bij de kliniek in Limburg vonden ze het wel nodig voor de aansluiting en omdat de vullingen in 37/47 toch al groot waren.
Ik ben in mijn eigen omgeving bij een Implantoloog geweest die rechts een botopbouw nodig vond deels met mijn eigen bot uit mijn kaak (en dan zou ik eerst met een dikke blauwe wang rondlopen voor 2 weken!) en daar schrok ik nogal van. Ook van de prijs 5300 euro voor 2 implantaten met 2 kronen. In de kliniek in Limburg vonden ze botopbouw niet nodig (wat voor mij een enorme opluchting is). Wel raar dat ik 2 verschillende adviezen krijg. De implantaten met gelijk materiaal voor de kronen (zirkonium)zijn daar 2800 euro. Om 2500 euro te besparen wil ik wel een paar keer op en neer rijden naar Limburg dat is toch een significant bedrag.
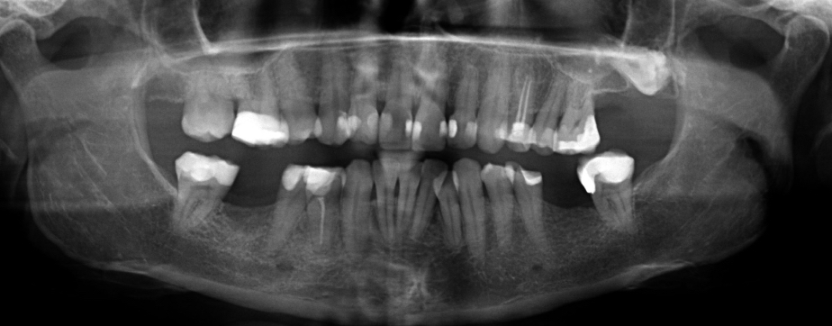
Zie de bijgevoegde foto. Mijn tandarts vond implantaten beter dan een brug voor mij. Denkt u ook op basis van de foto dat er voldoende bot is rechts?
Attach
zo, 01/11/2026 - 16:30 Permalink
Tandarts_Richa…

100 tandartsen,,,,100 meningen, helaas. Een kroon op een implantaat kompleet zonder bot opbouw geef ik als indicatie tussen de 1800-2200 eur. p stuk.
Voor de aansluiting op het buur element vind ik niet dat daar ook een kroon nodig is...wel ivm de grootte v d vulling. Ik zie meerdere grote vullingen zo ook kiezen met wkb behandeling.
Als een kies met een wkb is behandeld wordt die kies broos dus advies of een knobbel overkappend vulling of een kroon, mijn voorkeur een kroon.
Op de opt zie ik:
- Bot afbraak (hoop niet dat u rookt of heeft gerookt._.
- De 28 is aanwezig, zou ik laten zitten als u er geen last v heeft.
- Zou de wortelpunt v d 24 extra controleren met een x-foto.Eventueel indien nodig dan een herbehandeling voordat er een kroon op gemaakt zou worden, als u kiest voor een vaste voorziening, uitneembaar (frame) is goedkoper.
- Er zijn meerdere grote vullingen waar ik een kroon op zou overwegen. 24/25/26/37/35/44/45/47/16 (niet echt goed te beoordelen maar ga uit v de geleverde foto.). Kronen op de voortanden lijken vooralsnog nog niet nodig maar hangt ook v h esthetische af.
-Nogmaals meerdere kronen zijn niet nodig als u uitgaat v e uitneembare voorziening bijv. een frame prothese.
Maak daarom een goede totale behandel plan. Laat u goed adviseren.
Als u kiest voor vast lijkt mij voor bijv. de onderkaak, kroon en brugwerk goedkoper. Brug 44-47 (4x 7-900 eur=28-3600 ) en Brug 35-37 allebei grote vullingen minder ingrijpend... (3x 7-900 eur = 21-2700 ) Maar dan is alles gedaan in de onderkaak. Max 6300 eur zonder eventuele wkb.
2x implantaat en 5 kronen is prijziger.
Maar eerst moet de ophanging,...... parodontium, tandvlees en botniveau.... gezond en stabiel zijn.
Maar daarom een goede plan met een tandarts.
zo, 01/11/2026 - 17:05 Permalink
MB2025

Erg bedankt voor de uitgebreide analyse.
Waar ziet u de botafbraak en wat heeft dat te maken met roken? Ik rook al heel lang niet meer (>10 het geleden).
Denkt u dat er botopbouw nodig zou zijn als ik wel implantaten neem voor de 36, 46?
zo, 01/11/2026 - 18:50 Permalink
Tandarts_Richa…

Botafbraak kan nog v toen u nog rookte zijn,,,,dan zou ik uw foto bibliotheek moeten beoordelen. bovenkaak met name 17/26 en de 37/47.
Mogelijk voor de 46 botopbouw. Maar eerst een totaal rehabilitatie plan maken. Zou toch de bruggen overwegen en als het financieel niet haalbaar is richten op frame prothese in de toekomst.
zo, 01/11/2026 - 22:17 Permalink
MB2025

Ik ben u erg dankbaar voor de uiteenzetting van de mogelijkheden vooral omdat u geen financieel belang heeft. U heeft mij al eens eerder van zeer goed advies gegeven waardoor mij een wkb bespaard is gebleven.

Ik zat voorheen bij een tandarts die mij nooit een kroon heeft aanbevolen. Als dat wel was gedaan dan had ik waarschijnlijk de 36 en 46 nog gehad. Deze grote vullingen bleven maar afbreken na wkb waardoor uiteindelijk ontsteking tussen de wortels en aan de wortel punt. Met een kroon was dit wellicht niet gebeurd. Ik heb echter ook nooit een behandelplan gekregen.
Nu sinds vorig jaar een nieuwe tandarts en die zij bij de intake alleen je moet 2 implantaten. Omdat de Implantoloog hier zo duur was en ik enorm tegen de bot opbouw opzag vroeg ik mijn tandarts of ik geen bruggen kon krijgen. Maar hij vind het zonde van de kleine kiezen om die af te slijpen en hij is bang dat de grote kiezen met de grote vullingen op termijn los zouden komen door te weinig bot waardoor de hele brug eruit moet.
Bij de kliniek in Limburg zitten ze wel meer op uw lijn dat ze de grote vullingen willen vervangen, in hun geval stellen ze kronen voor. Omdat u ook vind dat het aan te raden is om de grote vullingen te vervangen ga ik dat nu wel doen. Ik wil eigenlijk geen frame maar een vaste oplossing.
Als ik bij deze tandarts wil blijven dan zal ik voor de kronen moeten gaan want hij wil geen brug. Nu zijn de kronen in de kliniek in Limburg voordeliger omdat ze zelf een tandprothetisch lab hebben en ze zijn ook leverancier van de DXL implantaten daardoor is de prijs gunstig.
Wanneer je een kies afslijpt voor een kroon of brug kan je dan wel de reeds aanwezig vulling laten zitten? Want als je de hele vulling uitboort dan kan ik me voorstellen dat je bij de zenuw uitkomt bij mij.
En als er onder kroon of brug een zenuw ontsteking komt. Kun je er dan doorheen boren en weer vullen of moet dan de hele brug of kroon er weer vanaf?
ma, 01/12/2026 - 15:56 Permalink
Tandarts_Richa…

Daarom vervang/maak ik eerst alles schoon...wacht een half jaar en als dan alles goed is een kroon. Maar dan nog kunnen er complicaties ontstaan. En als dan toch een ontsteking ontstaat dan kan je of door de kroon boren of de kroon eraf tikken en weer terug plaatsen. afhanlelijk van.....
Vind een restauratief tandarts bij u in de buurt...die zijn gewend om complexe handelingen uit te voeren. Ik ben een algemeen tandarts die uitgebreid kroon en brugwerk uitvoert.
Pas op !!!! goedkoop is soms.........
Maak een goed plan ... kijk wat binnen uw budget past, dan pas uitvoeren. Door het grote succes v implantaten worden op de universiteit daar zelfs de voorkeur aan gegeven...maar dan wordt er geen rekening met de individuele financiele middelen gehouden.
ma, 01/12/2026 - 19:14 Permalink