Kies uit vs wortelkanaalbehandeling

Author:
vanessahoder
Posted:
vr, 01/16/2026 - 21:41
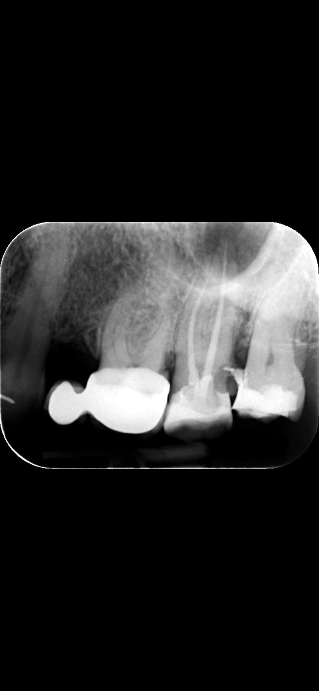
Ik ben in november naar de tandarts gegaan met een pijn in mijn bovenste kies. Voor de ene laatste. De tandarts heeft er een foto genomen natuurlijk en besloten we samen dat ze niet gaat uittrekken maar wortelkanaalbehandelen. Deze is gebeurd voor het kerst zat definief gevuld. Na een week of twee misschien begon die tand pijn doen ,gevoelig zijn en onstoken. Terug naar de tandarts. Ze heeft een foto gemaakt en tot op mijn verbazing de pijn kwam niet van de wortelkanaalbehandeld tand maar vanuit de laatste kies. Ze zei dat er een heel diep gat er in zat en moest per direct uit. Vullen was geen optie. Ik wilde met haar verder niet in discussie dus liet ik haar werk doen. Nadat ze de tand eruit rukte zei ze dat ze de wortekanaalbehandelde tand ging boren en vullen!? Toen snapte ik er niets meer van en was ook slap van de verdoving. Nu heb ik net gevoeld dat de wortelkanaalbehandelde tand is maar de helft geworden waarvan nu het helft is echt gewoon vulling materiaal die ook bijna los komt. Ik moet terug in februar dan zal ze defenitief vullen. Alleen vullen kan niet meer want deze tand heeft geen gat meer. Bijgevoegde foto is diege die genomen werd net voordat mij tand eruit moest. Kan u zien of dat echt een heel diep gat zat? Bedankt alvast
vanessahoder

Goedeavond,
Deze is de foto van de diepe gat tussen de kiezn in. Daar moest ook mij laatste kies direct eruit. En de wortelkanaal behandeld moest nog een keer gedaan worden
ma, 01/19/2026 - 22:27 Permalink
Tandarts_Richa…

WK behandelde kies moet waarschijnlijk nog een derde kanaal gevuld worden,En de achterkant is waarschijnlijk gevuld..."gaatje".
Als de wkb gedaan is of een knobbel overkappend vulling of: half jaar wachten...ik zou een kroon adviseren. Dit als er een kies tegenover, kaak beneden, is dus nog functie heeft.
Als de laatste kies, verstand kies, oorzaak v e klacht zou zijn zou ik ook trekken adviseren.
wo, 01/21/2026 - 00:06 Permalink
vanessahoder

Is dat kleine zwaart puntje midden op de kies is geen gat? Wat is dat dan?

Wat denkt u waarom heeft de arts mijn laatste kies eruit getrokken?
Kan omdat er op een ontsteking zat?

Waarom heeft ze daarna nog met de wkb tand bezig geweest?
Ik ben benieuwd op u theorie?
Bedankt!
do, 01/22/2026 - 23:06 Permalink
vanessahoder

Ik gaf aan inderdaad dat ik pijn had en volgens mij kwan van de wkb tand.ik voelde ook mer mijn tong dat er ieys afgebroken was.
Vervolgens de arts heeft bovestaande foto gemaakt en zei dat de pijn vanuit de laatste kies kwam. En ze dat niet meer vullen kan omdat de gat zo diep is.
Daarom vraag ik mij af ..waar is de diepe gat ..kan u dat zien?
vr, 01/23/2026 - 23:40 Permalink