Graag hoop ik op duidelijkheid over de behandeling die ik binnenkort zal ondergaan. 
Het gaat over een gebitsrenovatie. Ik mis in totaal 5 kiezen, de overige wilde ik beschermen door kronen erover heen te laten plaatsen. Op de plaatsen waar ik kiezen mis, is gekozen voor een frameprotese, zodat ik uiteindelijk weer een goed, volledig functionerend gebit kan hebben.
Begroting is gemaakt, afspraken zijn vooruitgepland om na de vakantie van start te kunnen gaan.
Voor een ander probleem die ik heb, heeft de behandelend KNO arts gevraagd voor een overzichtfoto, röntgenfoto van de tandarts met een stukje diagnostiek, om eventuele ontstekingen aan wortelpunten enz. te kunnen uitsluiten.
De rontgenfoto heb ik gekregen. De assistente van de tandarts vertelde dat er geen ontstekingen zichtbaar waren, maar wel dat de kaak aan het slinken was en dat er pockets waren.
Eigenlijk door toeval, voortkomend uit een ander probleem (kno), ben ik erachter gekomen dat er sprake is van pockets in mijn gebit.
Er worden dus kronen gezet over mijn bestaande tanden waar pockets zitten. Het hele gebeuren kost enorm veel geld, als ik dan ook een goed en functionerend gebit heb, heb ik dit er graag voor over.
Maar er is niet gecontroleerd of mijn kaak en kiezen wel geschikt zijn voor dit hele project, ook niet dat er pockets waren.
Mijn angst is dat ik dadelijk een heleboel geld kwijt ben terwijl ik misschien over een paar jaar door die pockets mijn tanden helemaal kwijt ben en beter een kunstgebit had kunnen nemen.
Ik hoop dat ik het een beetje goed heb kunnen overbrengen en duidelijk heb kunnen maken waar ik mee zit.
Hoop op een antwoord hierover, alvast hartelijk dank, Lian.
      Het gaat over een gebitsrenovatie. Ik mis in totaal 5 kiezen, de overige wilde ik beschermen door kronen erover heen te laten plaatsen. Op de plaatsen waar ik kiezen mis, is gekozen voor een frameprotese, zodat ik uiteindelijk weer een goed, volledig functionerend gebit kan hebben.
Begroting is gemaakt, afspraken zijn vooruitgepland om na de vakantie van start te kunnen gaan.
Voor een ander probleem die ik heb, heeft de behandelend KNO arts gevraagd voor een overzichtfoto, röntgenfoto van de tandarts met een stukje diagnostiek, om eventuele ontstekingen aan wortelpunten enz. te kunnen uitsluiten.
De rontgenfoto heb ik gekregen. De assistente van de tandarts vertelde dat er geen ontstekingen zichtbaar waren, maar wel dat de kaak aan het slinken was en dat er pockets waren.
Eigenlijk door toeval, voortkomend uit een ander probleem (kno), ben ik erachter gekomen dat er sprake is van pockets in mijn gebit.
Er worden dus kronen gezet over mijn bestaande tanden waar pockets zitten. Het hele gebeuren kost enorm veel geld, als ik dan ook een goed en functionerend gebit heb, heb ik dit er graag voor over.
Maar er is niet gecontroleerd of mijn kaak en kiezen wel geschikt zijn voor dit hele project, ook niet dat er pockets waren.
Mijn angst is dat ik dadelijk een heleboel geld kwijt ben terwijl ik misschien over een paar jaar door die pockets mijn tanden helemaal kwijt ben en beter een kunstgebit had kunnen nemen.
Ik hoop dat ik het een beetje goed heb kunnen overbrengen en duidelijk heb kunnen maken waar ik mee zit.
Hoop op een antwoord hierover, alvast hartelijk dank, Lian.
 
                 
    
  
Voordat ik aan een renovatie…
Als antwoord op Voordat ik aan een renovatie… door Tandarts_Richa…
Beste tandarts Richard, hartelijk dank voor uw antwoord.
Fijn dat ik even advies kon opvragen over mijn situatie. Ik heb de rontgenfoto, alleen zou ik dit niet op dit veld willen plaatsen, een privebericht heb ik geprobeerd om de rongtenfoto te sturen, lukte niet.
Ik heb nagekeken voor een mondhygieniste bij mij in de buurt. Daar wil ik een afspraak mee maken, voor algehele controle, reiniging plus ook een stukje diagnostiek over de toestand van mijn gebit/tandvlees enz. Misschien dat zij kan bepalen of het traject verantwoord is of dat het juist eerst goed behandeld moet worden voordat we van start gaan.
Op internet heb ik geprobeerd mij wat in te lezen over pockets. Het mag gerust 3 mm zijn, dan staat er niets in de weg om dit traject in te gaan. Precies wat u aangaf idd.
Maar de gang van zaken zoals u aangeeft wat eerst gecontroleerd moet worden, is bij mij niet gebeurd.
Ik schreef dit bericht niet om mijn tandarts in discrediet te brengen, maar als de kno arts niet gevraagd had voor een rontgenfoto, wist ik niet eens van de pockets af. (er zou niet eens een rontgenfoto zijn gemaakt.)
De afspraken die ik heb staan voor de komende maanden zijn;
-slijpen zijdelingse delen.
-afdruk, beethoogte bepalen, kapjes kronen gepast.
-passen frame en kronen.
-plaatsen kronen en frame.
-slijpen front.
-plaatsen kronen.
Het gaat over de bovenkaak, die in meerder fases word gedaan. Afspraken zijn verdeel over ongeveer 2,5 maanden.
Nogmaals, ik wil niet slecht over mijn tandarts praten, maar ik maak me zorgen dat dit gewoon wordt gepland zonder de voorafgaande onderzoeken of alles wel in orde is.
Wat er ook nog bijkomt; mijn beide ouders hadden slechte genetica om zo maar te noemen, rond hun 45ste hadden zij al een kunstgebit. Inmiddels zijn zij al overleden, maar ik weet dat in mijn hele familie van mijn moeder, hun allemaal tandproblemen hadden. Dit was niet als gevolg van slechte hygiene of zo, eerder erfelijkheid. Allemaal ontstekings gerelateerd.
Tijdens het opgroeien heb ikzelf teveel antibiotica kuren gehad, wat ook weer invloed schijnt te hebben op het gebit van een mens. De kiezen die ik kwijt zijn, waren ook door het gevolg van onstekingen verloren gegaan.
Maar goed, in elk geval hartelijk dank, ik ga dan naar de mondhygieniste om erachter te komen hoe het gesteld is. Jammer dat ik niet de rontgenfoto kan sturen, zou daar graag uw mening over willen horen. Misschien dat u zelfs kunt zien hoeveel mm de pockets zijn.
Vriendelijke groet, Lian.
Erfelijkheid kan een rol…
Als antwoord op Erfelijkheid kan een rol… door Tandarts_Richa…
Beste Tandarts Richard, wederom dank voor reactie.
Wederom dank voor een reactie terug. Ik ben juist heel blij dat we goede mondzorg hebben, zou mijn tandarts ook absoluut niet kwijt willen.
Ik ben niet altijd goed in de dingen duidelijk te verwoorden, maar wat ik met mijn voorlaatste bericht bedoelde, was dat ik uw advies ter harte nam en net daardoor naar de mondhygieniste wil en ga.
Ik heb een goede gevonden en ga bellen voor een afspraak.
Op haar website stond ook dat zij haar bevindingen doorstuurt naar de tandarts, met goedkeuring van de client. Dat lijkt me een goede samenwerking dan.
Maar juist hierdoor geef ik jullie ook een kans, hiermee geef ik mijzelf ook de mogelijkheid op een gezond gebit.
Het woord; endodontisch heb ik even moeten opzoeken, maar betekent dus wortelkanaalbehandeling. Dat heb ik idd gehad, maar de pijn werd erger tot het niet meer te verdragen was. Van 1 kies heb ik bijna een jaar last van gehad. Mijn tandarts heeft alles gedaan wat mogelijk was, zelfs tot antibiotica kuren aan toe om ontstekingen te bestrijden.
Uiteindelijk was ik blij dat de kies (of kiezen) eruit mochten, dit op mijn verzoek. Als pijn niet meer te harden is, en er is al vanalles geprobeerd, wil je maar 1 ding, dat het ophoud.
Dit is begonnen in 2014, in de loop der jaren ben ik dan in totaal 5 kiezen kwijt.
Ging mij erom, ik ga een kostbaar traject in, ik kan dit maar 1x betalen. Heb nog 1 kans om mijn gebit te herstellen, maar dan wil ik ook zeker zijn dat alles in orde is, niet dat ik binnen een paar jaar alsnog aan een kunstgebit moet.
Daarom neem ik ook uw raad ter harte en ga ik naar de mondhygieniste voor een diagnose om duidelijk te krijgen hoe de situatie is.
Ik begin al kaakklachten te krijgen, dit wil ik graag verholpen hebben.
Misschien heeft mijn tandarts mij niet ingelicht omdat het meevalt, maar daarom wilde ik net de rontgenfoto naar u sturen.
Misschien ziet u dat het wel kan, en zijn de pockets te verwaarlozen. Zou echt graag uw mening en bevindingen willen horen.
Ik ga het nog 1x keer proberen of het lukt om een rontgenfoto via privebericht door te sturen.
De reden dat ik het hier niet wil plaatsen is schaamte voor mijn gebit.
Alvast hartelijk dank, Lian.
Aan tandarts Richard, over de rontgenfoto.
Ik ga in elk geval naar de mondhygieniste, dank voor alle raad die u mij gaf.
Vriendelijke groet, Lian
nogmaals , wil tandarts en…
Als antwoord op nogmaals , wil tandarts en… door Tandarts_Richa…
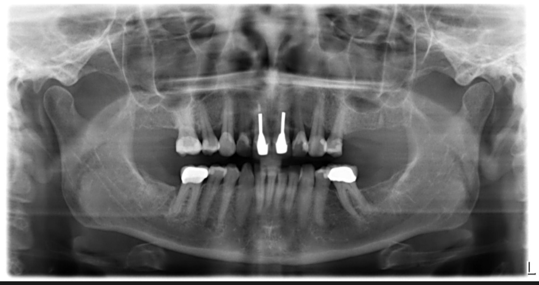
Beste Tandarts Richard, hier de rontgenfoto.
Gaat mij niet om herkenbaarheid, ging mij om schaamte over mijn eigen gebit.
Maar vind uw mening belangrijk hierover, dus ik ga hem toch plaatsen.
Dankjewel alvast.
OOOOH ben jij dat …
Beste Tandarts Richard, dankuwel voor uw bevindingen.
Wat ben ik blij dat ik dit forum geraadpleegd heb... Hartelijk dank voor uw bevindingen. Dit behoed mij voor een enorme ramp.
Ik schrik hier echt enorm van, kan wel janken. Mijn gebit is dus echt niet in orde voor dit traject.
Zoals ik eerder aangaf in mijn schrijven, is geen enkel vooronderzoek gebeurd, ook niet ingelicht over wat dan ook.
De rontgenfoto was gemaakt op verzoek van mijn kno-arts (voor een ander probleem), niet door de tandarts.
Zo kwam ik te weten over het slinken van mijn kaakbot en de pockets, tussendoor snel telefonisch medegedeeld door de tandartsassistente.
Als dit niet gebeurd was, was ik gewoon eind september dit traject ingegaan, in het volste vertrouwen dat alles in orde was...
Kosten; 7.300,00 euro. Dit is alleen voor de bovenkaak.
De onderkaak zou volgend jaar aan de beurt komen.
Nu zit ik wel te janken... Ik was bereid om alle reserves wat ik had/heb te besteden, om mijn gebit te renoveren.
Het bovenkaak traject (zal ik zo noemen) zou bestaan uit; kronen over bestaande tanden en een frameprothese voor de ontbrekende tanden boven, 3 stuks aan de frameprotese vast. (ik hoop dat ik het duidelijk kan overbrengen).
Beste Richard, ik ben maar een leek, ik waardeer de diagnose, maar ik begrijp al die codes niet zo goed, neem me niet kwalijk.
Als ik het een beetje probeer te begrijpen, dan is mijn ophanging; alles wat in het tandvlees zit, wortels, toestand kaak enz. niet in goede toestand, en is het zelfs de vraag of ik dan mijn tanden uberhaupt kan behouden, afhankelijk wat de paradontoloog nog kan redden.
De cijfers, ik denk dat hiermee een gebied/locatie van een tand word bedoeld. Mijn voortanden dan eruit, en als de overige bestaande kiezen door een paradontoloog nog in orde kunnen worden gemaakt, daaraan kan dan de frameprotese vast zitten.
Implantaten wil ik liever niet doen, vooral ook omdat ik zo ontstekingsgevoelig ben. Hier had ik in het verleden al over nagedacht, vandaar dat ik gekozen had voor een frameprotese.
Ik hoop dat ik het zo goed begrepen heb.
Wat ik erg vind, is dat er nog niet eens gekeken is of alles in orde is, het zou zo maar "gedaan" worden, zonder onderzoek enz.
De afspraak met de mondhygieniste is gemaakt, ik kan 7 september terecht. Maar ik ga morgenochtend op zoek naar een paradontoloog, hoe ik deze moet vinden weet ik niet, ik ga maar kijken op google dan.
Ik woon in het zuiden van het land trouwens, breda is de provincie naast mij, zal ik maar zeggen.
Ben echt overstuur en emotioneel nu, kan mijn tranen niet bedwingen, ik weet dat dit niet uw bedoeling was. Maar dit is gewoon pure eerlijkheid en behoed mij voor een financiele ravage.
Het heeft ook te maken met het verlies van vertrouwen in mijn tandarts, ze zou gewoon knip en plakwerk hebben gedaan. Bij zoiets als dit, doe je toch gedegen onderzoek of het mogelijk is, voordat je een hele bovenkaak doet?
Ik zou alles wat ik had, kwijt zijn geraakt. Niet alleen mijn reserves maar ook mijn tanden, mijn aangezicht.
Het raakt me enorm. Moet hier ook echt van bijkomen.
Richard, mijn oprechte dank voor je kundigheid en eerlijkheid.
U heeft het denk ik goed…
Beste Tandarts Richard
De redactie hier heeft mijn email-adres, misschien kunt u een goede paradontoloog adviseren.
Wat betreft de regio waar ik woon, dat is zuid-limburg/parkstad.
Ik moest het even allemaal laten bezinken, het gebit is toch een deel van wie je bent als mens. Het is het aangezicht.
Maar ik heb voor mezelf duidelijk dat gezondheid voorop staat, dan liever eruit wat eruit moet, en behouden wat mogelijk is met hulp van paradontoloog en mondhygienist. Frameprothese is een goede oplossing voor dat wat ontbreekt, en nog zal gaan ontbreken.
Er zijn al andere klachten die ik heb, die misschien wel voortkomen uit de toestand van mijn gebit/kaak (daarvoor naar kno arts, aanhoudende klachten sinds vorig jaar).
Gisteravond en vandaag veel nagedacht hierover, het gaat toch steeds door mijn hoofd heen.
Ik vind het moeilijk om dit bespreekbaar te maken met mijn tandarts.
Maar ik ga dat gesprek toch aan.
Wederom hartelijk dank voor alle eerlijke info.
http://tandvleesspecialist…
Ik ken ze niet maar zal navraag doen .
Aan Tandarts Richard, ik blijf bedanken
Ik had de website open laten staan in de hoop dat u dit nog zou lezen.
De link van u heb ik geopend en daar staat een centrum die bij mij in de buurt is. Daar is veel mogelijk, zij hebben daar meerdere specialisaties onder 1 dak.
Ik hoop dat dit een goed centrum is, ik ken het niet.
Dankuwel voor de moeite, het word gewaardeerd.
Op dit moment heb ik het gevoel alsof er maar 1 persoon is die mij wilt helpen, die heeft geluisterd, die echt goed heeft gekeken naar de situatie, die mij ook heeft gesteund, met alle vragen en situaties waar ik mee zit. U.
Er zijn meer personen. Alle…
Dit is het antwoord. Deze…
https://www.pp-im.nl/team succes.
Beste Tandarts Richard, mijn laatste bericht.
Betreffende mijn probleem, begrijp ik nu dat een goede controle vooraf had moeten gebeuren. Dit is niet gebeurd.
Geen pocketmeting, geen meting botniveau, niet nagekeken of tandvlees (geleerd; de ophanging) gezond genoeg is, geen rontgenfoto gemaakt om de wortelpunten te controleren op ontstekingen en dergelijke. Niets, ook niet; "Misschien heeft hij/zij wel degelijk rekening gehouden met alle omstandigheden maar u daar niet over ingelicht."
Maar deze zin kwam voorbij voordat ik de rontgenfoto liet zien. Deze omstandigheden, te zien op de foto, daar zou ik toch over ingelicht moeten worden voordat het traject van start zou gaan, lijkt mij dan.
Dat er uberhaupt een rontgenfoto is gemaakt, was op verzoek van mijn kno-arts (toegelicht in vorige berichten).
Alleen door samenloop van omstandigheden wist ik van de pockets. Daarom mijn vraag gesteld aan experts hier. Om eigenlijk op het nippertje erachter komen hoe het gesteld is. Dit forum heeft me behoed voor een financiele en emotionele ramp.
Ik mag mijn tandarts graag, daarom vind ik het dubbel erg hoe dit gegaan is. Behoor tot de groep mensen die extreem bang zijn voor de tandarts, niet voor de persoon, maar de ingrepen, panisch kan ik worden. En mijn tandarts stelde mij altijd gerust, voelde me veilig.
Ik heb eerlijk gezegd de hele nacht wakker gelegen van het piekeren, gejankt, overstuur.
Want het omvat meer dan dit. Mijn hele leven heb ik gedroomd van een mooi gebit. Deze droom was binnen handbereik, dacht ik. Nu had ik de mogelijkheid, keek ernaar uit, eindelijk breeduit kunnen lachen. Niet meer schamen. Mooie tanden hebben.
Het gaat niet om het geld. Ik ga tanden kwijtraken, het zal nooit meer compleet worden op de manier waarop ik hoopte.
Mijn voortanden, daar heb ik al lange tijd last van, dat gebied rondom voelt gekneusd aan. De stifttanden zijn inmiddels 30 jaar oud en heb daar de nodige problemen mee gehad. Hiermee wil ik zeggen; u heeft gelijk, de voortanden zijn ook echt niet in orde.
Vroeger voortdurend onstekingen bij de linkervoortand bovenin waar de wortelpunt zou zitten, er vormde altijd een wit bolletje op het tandvlees tot deze openging, en zich vervolgens weer vulde enz.
Dat werd dan door de kaakchirurg opengesneden, gereinigd en weer gehecht. Jaren terug werd dit weer opengemaakt, alleen dit keer werd het gevuld met amalgaam vulling in de kaak, dit zou mijn laatste keer zijn, daarna had ik geen last meer van dat witte bolletje ontsteking.
Op die plek heb ik nu wel al jaren blauwe vlekken op mijn tandvlees, de amalgaam vulling lekt. Linksonder voelt mijn kaakbot dikker aan, wat dat is weet ik niet, het voelt niet goed in elk geval.
Het aspect vertrouwen. Een tandarts heeft een belangrijke plaats in je leven. Je vertrouwd hem/haar je aangezicht toe, hij/zij stelt je gerust, hij/zij zorgt een beetje voor je. Helpt je, als je rondloopt met pijn, zorgt dat het weggaat, doet wat hij/zij kan. Als je wanhopig bent (tand/kies gerelateerd) kun je bij hem/haar terecht. Daar is een band voor nodig, dat gebouwd is op vertrouwen. Geld ook voor de huisarts. Het is bijna hetzelfde.
Ik moest me even uitten. Ik vind dit allemaal best erg, op zoveel vlakken, raakt me, emotioneel, meer dan ik hier kan verwoorden.
Hoe het allemaal afloopt, ik zal het dan doorgeven hier. Korter. Niet zo lang als nu.
Dankjewel Richard, voor je hulp, voor alles.
Graag gedaan. Ik zou uw…
Beste Tandarts Richard, verder verloop van de situatie.
Ik zou u op de hoogte houden van het verdere verloop.
In september heb ik 2 afspraken gehad bij de mondhygieniste en een paradontaal behandeling gehad. Nu afwachten dat dit gaat helen. Haar bevindingen; pockets in de gehele bovenkaak plus linksonder eentje. De dieptes waren 4, 5 en 6 millimeter.
De paradontoloog; laatste week van september afspraak; opnieuw een pocketmeting gehad; hij vond een pocket van 7 millimeter rechtsonder.
Omdat ik de paradontaal reiniging al had gehad, moet ik afwachten tot december (afspraak al gemaakt). Als die pocket van 7 milimeter er nog is, krijg ik een flapoperatie.
Er is paradontities geconstateerd en idd wat u ook al zei, behoorlijke botafbraak. Zijn advies was niet door te gaan met het traject met kronen.
Ik heb geprobeerd uit te leggen wat de situatie voorheen was en dat ik anonomiem advies heb gevraagd, ook over de voortanden gehad, plus dat het nog maar de vraag is of boven behouden kan worden, enz. Maar ik liep tegen een taalbarriere aan.
Hij heeft verder niets gezegd over de voortanden of de toestand hiervan, mij is ook niet duidelijk wat verder te doen, of welke weg ik moet bewandelen.
Dingen op een rij; -Mondhygieniste; pocketmeting en parodontaalbehandeling gehad.
-Paradontoloog; pocketmeting gehad, paradontitis geconstateerd plus flinke botafbraak, eventuele flapoperatie bij pocket 7 mm, niet doorgaan met kronen traject.
Ik heb elk advies dat u gaf ter harte genomen en dit ook gedaan, dankuwel nogmaals.
Zelf heb ik nog nagedacht waarom mijn tandarts dit vooronderzoek niet heeft gedaan. Uit de reactie bij het afzeggen van de afspraken voor het traject en het vragen voor verwijskaart paradontoloog, maak ik op dat mijn tandarts heeft gedacht dat het allemaal mee viel.
Maar dan nog, de tussentijdse rontgenfoto voor die andere gezondheidsklacht, zou misschien toch aanleiding moeten zijn om eerst vooronderzoek te doen. Denk ik dan. Maar goed.
Ik hoop dat alles goed gaat verlopen, maak me daar toch wel zorgen om, ben daar wel angstig voor.
Hartelijke groet, Lian
Bedasnkt voor het op de…
Beste Tandarts Richard, antwoord op de vragen.
Wat ik bedoelde met de taalbarriere, de paradontoloog is niet afkomstig uit Nederland, hij is wel al geruime tijd werkzaam als paradontoloog. Hij spreekt zeker nederlands, niets verkeerds mee bedoeld of dergelijke.
Toen ik mijn verhaal deed over wat vooraf gebeurde, was dit misschien wat veel. Hij vroeg of de assistente ook mee kon luisteren naar het verhaal (alleen maar goed vind ik) en sommige stukken hebben we in het engels besproken. Dit betekent niet dat iemand zijn werk niet goed zou doen.
Dit hieronder heb ik uitgeprint en geprobeerd aan hem uit te leggen.
---"Eerst de ophanging in orde door de parodontoloog, niet mondhygiënist . De parodontoloog heeft dan de verantwoording en zal de hulp v d mondhygiënist gebruiken. Als ik de foto bekijk denk ik dat u rechts voldoende stabiliteit heeft maar links boven net een kies tekort komt. Is het echt nodig meer kiezen te maken u heeft nu het minimale noodzakelijke. Flink botafbraak in het front boven en oppassen bij de 46/16. Of de boven front op den lange duur te behouden is hangt af van wat de parodontoloog kan bereiken. Belangrijker hoe goed u uw gebit kunt verzorgen. Rookt of heeft u in het verleden gerookt... dat zou voor mij veel verklaren. Als u bereid bent een uitneembare voorziening, zoals een frame te dragen, dan heeft u zelfs voldoende aan de 23/24 en de 13/14 om een frame aan op te hangen mits die elementen gezond zijn, ( parodontoloog) de voortanden kunnen mooi in de frame opgenomen worden na eventuele extractie. Bereid om de ankers v e frame prothese te accepteren dan hoeven die 4 elementen niet bekroond te worden, behalve misschien de 14/24 afhankelijk v d grootte v d vullingen. Anders kunnen voorzieningen in die 4 kronen gemaakt worden om de functie v d ankers over te nemen. Er zijn ook alternatieven afhankelijk v uw budget. Indien voldoende bot aanwezig en parodontaal gezond, niet rokend, zou u ook ter vervanging v d 4 front elementen twee implantaten en een 4 delig implantaat gedragen brug kunnen plaatsen etc etc ...verschillende alternatieven maar allemaal afhankelijk v hoe goed U vooral en de parodontoloog de fundering rustig kunnen krijgen. Verschillende zienswijzen/oplossingen afhankelijk v d behandelaar."---
(Zelf vind ik dat ik goed beslagen ten ijs ben gekomen met deze onderbouwing, de knelpunten zijn duidelijk. Wat plaats heeft gevonden is een pocketmeting, paradontitis vastgesteld, rechtsonder achter een pocket van 7 mm, wachten tot december. Is het niet genezen, krijg ik een flapoperatie. Flinke botafbraak. Niet doorgaan met traject kronen op dit moment.)
Maar wat beschreven is en waar naar gekeken moet worden, daar heb ik geen antwoord op gekregen. Hoe nu verder, wat is de situatie met de voortanden, kan boven uberhaupt behouden worden op lange termijn, enz. enz.
---"Denk niet dat de tandarts denkt dat het meevalt, waarom zou u anders een verwijzing vragen."---
Het verhaal hierachter is dat mijn partner voor mij heeft gebeld naar de praktijk en heeft gesproken met de assistente. Hij is een stuk mondiger en daadkrachtiger dan ik ben.
Hij heeft voor mij de afspraken stopgezet voor het traject en tevens de verwijskaart gevraagd voor de paradontoloog. En stond erop dat er eerst grondig onderzoek zou worden gedaan, alvorens het traject van start zou gaan. Er is verder niet gevraagd waarom of hoe en wat, vandaar mijn opmerking over dat mijn tandarts misschien dacht dat het meeviel, want zelf heeft de tandarts het daar helemaal niet met ons over gehad. Er zou er niets zijn gebeurd vanuit de praktijk en het traject zou gewoon door zijn gegaan.
---"Nogmaals voor mijn nieuwsgierigheid: rookt u of heeft u gerookt."---
Dit is vaker gevraagd, ik zal hierop ook (eindelijk) antwoord geven: ja, maar geen doorsnee roker. Ik behoor helaas tot de categorie mensen die letterlijk alles wat er bestaat aan middelen om te stoppen, heeft geprobeerd. Dit gevecht moet ik nog winnen, alleen weet ik niet meer hoe.
Neemt niet weg dat (oorspronkelijke hulpvraag) er hoe dan ook een gedegen voor onderzoek hadden moeten plaatsvinden, ongeacht roker/niet-roker. Dan zou duidelijk worden hoe het ervoor zou staan; niet goed en niet mee doorgaan (traject).
Daarnaast heb ik (na mijn vorig bericht) gelezen op het forum over de gevolgen van paradontitis, ben erg geschrokken wat mensen soms meemaken. Zelf ben ik bang dat ik dadelijk geen kaakbot meer over heb, als ik misschien een kunstgebit nodig zou hebben.
Hoe dan ook, ben ik blij dat ik hier terecht ben gekomen, zonder uw advies was ik niet bij de mondhygieniste geweest, niet bij de paradontoloog, zou ik niet eens weten wat de daadwerkelijke toestand van mijn gebit was.
Hartelijke groet, Lian
Geen antwoord omdat dat…