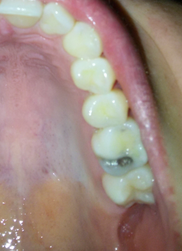
Vandaag was ik bij de tandarts en nu blijk ik een gaatje te hebben (dat was op de foto te zien en ook op de kies als een donkere vlek). Dat moet ik binnenkort laten vullen en daar is 40 minuten voor gepland. Ik schrok daarvan. Kan ik er nu van uit gaan dat het een heel groot gat is? Ik heb de foto toegevoegd, gaatje zit aan de andere kant van de vulling.
Groetjes, Mieke
Groetjes, Mieke
Re: Gaatje vullen
Re: Gaatje vullen
Re: Gaatje vullen
Re: Gaatje vullen
Re: Gaatje vullen
Re: Gaatje vullen
Re: Gaatje vullen