Beste allen,
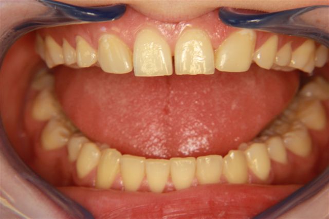
In 2010 heb ik helaas composiet over mijn bovenste 6 voortanden laten zetten.
Dit is in 2018 vervangen. Volgens de tandarts is er een heel klein beetje eigen tand weg.
Ik heb zelf foto’s vergeleken van toen en nu ben gewoon bang dat mijn eigen tanden eronder niet meer gezond zijn. Dat er toch te veel weg is waardoor je er levenslang aan vastzit.
Ik had gewoon prima tanden en vind het verschrikkelijk dat ik mezelf dit aan heb gedaan. Ik wil het liefst terug naar de oude stand. Ik heb binnenkort een afspraak staan voor een second opinion.
Is er iets van een bepaalde techniek waarmee ze kunnen zien hoe mijn tanden eronder zijn? Qua grootte en slijtage. Ik weet gewoon niet waar ik het beste terecht kan hiervoor. Al die klinieken voor facings etc vertrouw ik absoluut niet.
Ben benieuwd of er hier experts zijn die me van advies kunnen voorzien.
Alvast bedankt!
In 2010 heb ik helaas composiet over mijn bovenste 6 voortanden laten zetten.
Dit is in 2018 vervangen. Volgens de tandarts is er een heel klein beetje eigen tand weg.
Ik heb zelf foto’s vergeleken van toen en nu ben gewoon bang dat mijn eigen tanden eronder niet meer gezond zijn. Dat er toch te veel weg is waardoor je er levenslang aan vastzit.
Ik had gewoon prima tanden en vind het verschrikkelijk dat ik mezelf dit aan heb gedaan. Ik wil het liefst terug naar de oude stand. Ik heb binnenkort een afspraak staan voor een second opinion.
Is er iets van een bepaalde techniek waarmee ze kunnen zien hoe mijn tanden eronder zijn? Qua grootte en slijtage. Ik weet gewoon niet waar ik het beste terecht kan hiervoor. Al die klinieken voor facings etc vertrouw ik absoluut niet.
Ben benieuwd of er hier experts zijn die me van advies kunnen voorzien.
Alvast bedankt!
Zie mijn antwoord in de…