Beste deskundige,
Pas naar een nieuwe tandarts geweest
(eigen tandarts is tijdelijk afwezig) Advies was dat het plekje tussen de 2 kiezen(de 2 kiezen zonder grijze vulling bedoel ik) gevuld moest worden. Of een stukje vulling vervangen.
Aangezien ik behoorlijk bang ben voor de tandarts schrok ik hiervan want eerder is er niks over gezegd. En naar mijn idee zit dat plekje er al 1 a 1,5 jaar. Ik kijk regelmatig in mijn mond nml en heb ook foto' van vorig jaar en daar lijkt t nagenoeg hetzelfde.
Ik weet dus niet zo goed wat ik nu moet doen? Afwachten tot de volgende
controle. Er worden dan ook weer foto' s gemaakt. Of moet er inderdaad snel iets asn gedaan worden??
Ik hoop op een (geruststellend) antwoord.
Alvast bedankt!
Pas naar een nieuwe tandarts geweest
(eigen tandarts is tijdelijk afwezig) Advies was dat het plekje tussen de 2 kiezen(de 2 kiezen zonder grijze vulling bedoel ik) gevuld moest worden. Of een stukje vulling vervangen.
Aangezien ik behoorlijk bang ben voor de tandarts schrok ik hiervan want eerder is er niks over gezegd. En naar mijn idee zit dat plekje er al 1 a 1,5 jaar. Ik kijk regelmatig in mijn mond nml en heb ook foto' van vorig jaar en daar lijkt t nagenoeg hetzelfde.
Ik weet dus niet zo goed wat ik nu moet doen? Afwachten tot de volgende
controle. Er worden dan ook weer foto' s gemaakt. Of moet er inderdaad snel iets asn gedaan worden??
Ik hoop op een (geruststellend) antwoord.
Alvast bedankt!
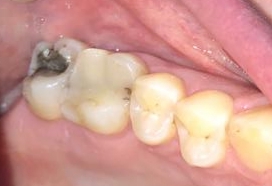
Nu met fofo's
Wanneer is uw volgende…
Als antwoord op Wanneer is uw volgende… door Tandarts_Richa…
Dank voor uw reactie…
Mijn volgende controle is in november. Dan worden er ook weer bitewings gemaakt. De tandarts heeft trouwens nog met lucht geblazen maar daar reageerde de kies niet op. Ook met haakhe gevoeld en daar bleef hij wel wat meer haken. Hij zei ook dat dat eigenlijk glad moet.
Ik voeg nog 2 foto's bij. Beide van okt 2021 voor beter advies.
Het liefst wil ik wachten tot de volgende controle met nieuwe foto. Heb ook totaal geen last van die kies.
Een foto v 2021 vind ik te…