Beste forumleden,
In 2008 ben ik bij ACTA behandeld voor gebitsslijtage door bruxisme. De behandeling bestond toen uit het vervangen van alle vullingen, opbouw van kiezen, en het plaatsen van composiet facings op al mijn tanden. Ik was destijds zeer tevreden met het resultaat.
Helaas heb ik sindsdien moeite met het vinden van een geschikte tandarts. Ik heb verschillende praktijken geprobeerd, maar vaak waren dit grote praktijken met veel verloop, waardoor er geen continuïteit in de behandeling was. Hierdoor is er nooit een goed behandelplan opgesteld en werden problemen vooral ad hoc opgelost.
Mijn huidige situatie:
- Al circa 32 jaar twee ontbrekende kiezen in de onderkaak (één aan elke kant), waardoor de achterste kiezen naar binnen zijn gegroeid
- Kauwproblemen, waardoor normaal eten steeds lastiger wordt
- Regelmatig afbrekende tanden die gerepareerd moeten worden
- Toenemende kaak- en oorklachten
- Aanhoudende tongpijn links achteraan, mogelijk door scherpe kiezen
- Vrijwel alle tanden en kiezen zijn gevoelig
- Recent zijn er nieuwe composiet facings geplaatst, maar deze voelen te dik en sluiten niet goed aan
- Een recent aangemeten nachtbitje past niet goed
Ik maak me vooral zorgen over:
- De toenemende kaakklachten en tongpijn
- Het gevoel dat mijn beet te diep wordt door slijtage
- De algemene staat van mijn gebit en het niet goed kunnen kauwen
- De langetermijngevolgen van de ontbrekende kiezen en het naar binnen groeien van de achterste kiezen
Wat ik zoek in een tandarts:
Iemand die de tijd neemt om mijn complexe situatie te begrijpen.
Een tandarts die een langetermijnvisie heeft en een gedegen behandelplan kan opstellen.
Ervaring met vergelijkbare complexe gevallen.
Ik zou graag advies willen over:
- Of een nieuwe behandeling bij ACTA in mijn situatie zinvol zou zijn
- De mogelijkheid van implantaten, ook gezien het feit dat de situatie al lang bestaat en de achterste kiezen zijn verschoven
- Aanbevelingen voor een tandarts (regio Alkmaar) die ervaring heeft met complexe gevallen en bruxisme
Heeft iemand ervaring met vergelijkbare problematiek of kan iemand mij adviseren over de beste aanpak?
Bij voorbaat dank voor jullie reacties.
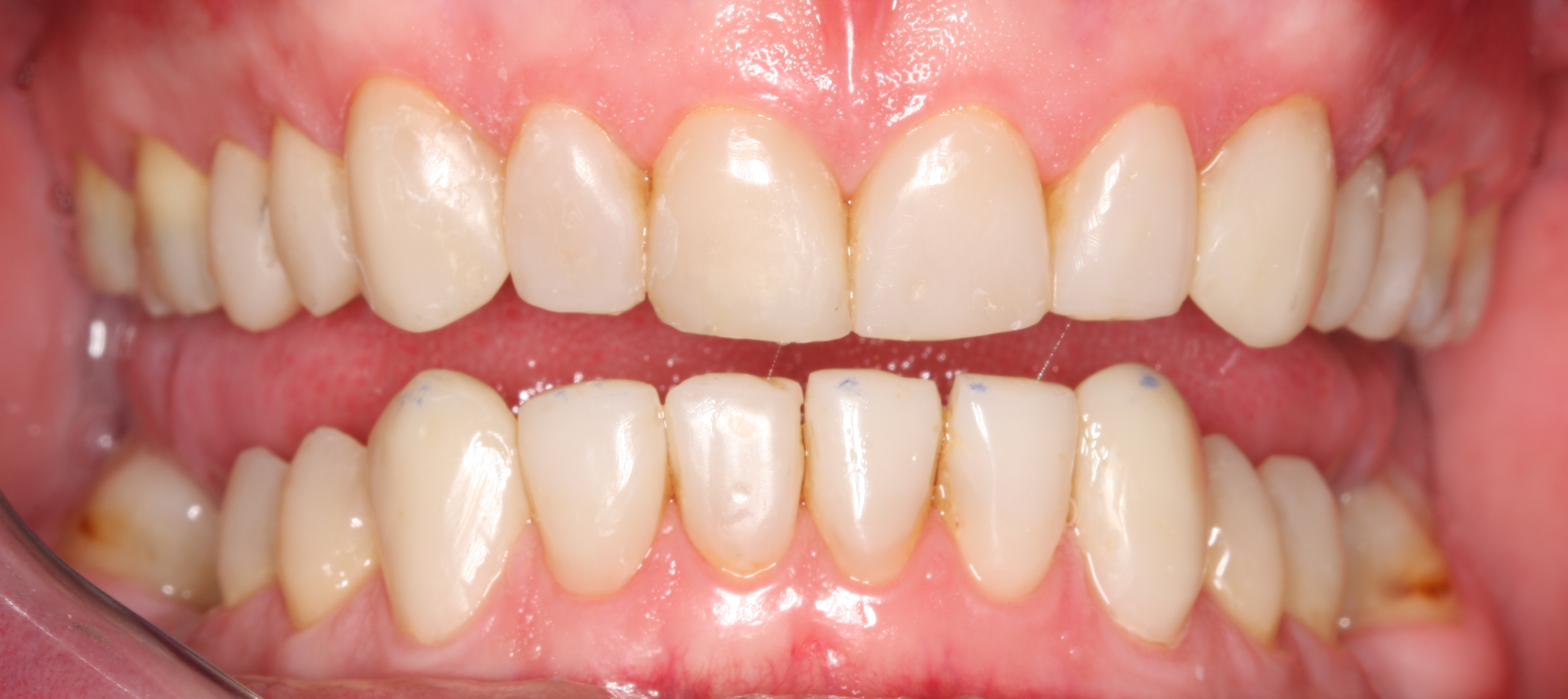
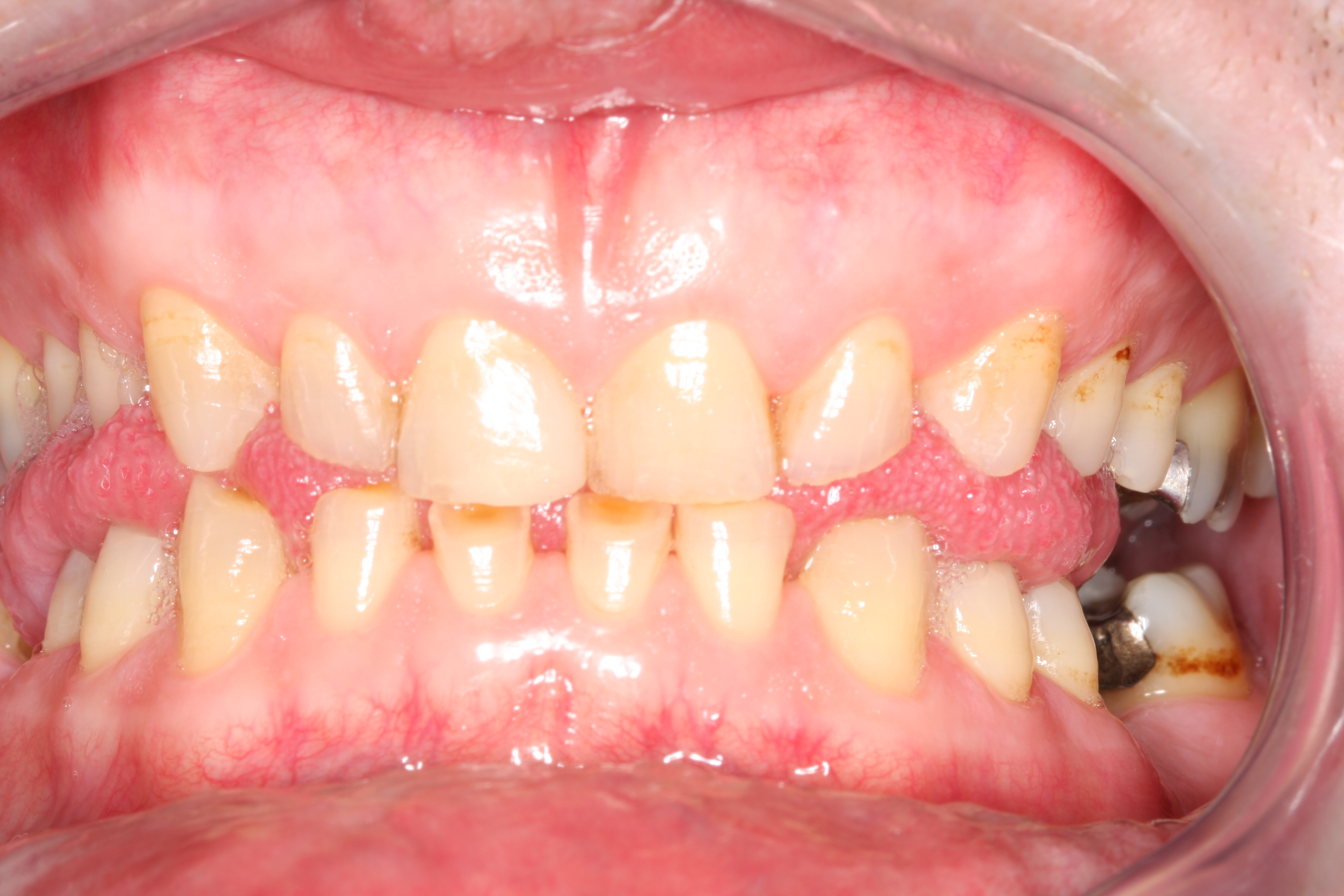
Dit zijn de voor en na fotos uit 2008:
In 2008 ben ik bij ACTA behandeld voor gebitsslijtage door bruxisme. De behandeling bestond toen uit het vervangen van alle vullingen, opbouw van kiezen, en het plaatsen van composiet facings op al mijn tanden. Ik was destijds zeer tevreden met het resultaat.
Helaas heb ik sindsdien moeite met het vinden van een geschikte tandarts. Ik heb verschillende praktijken geprobeerd, maar vaak waren dit grote praktijken met veel verloop, waardoor er geen continuïteit in de behandeling was. Hierdoor is er nooit een goed behandelplan opgesteld en werden problemen vooral ad hoc opgelost.
Mijn huidige situatie:
- Al circa 32 jaar twee ontbrekende kiezen in de onderkaak (één aan elke kant), waardoor de achterste kiezen naar binnen zijn gegroeid
- Kauwproblemen, waardoor normaal eten steeds lastiger wordt
- Regelmatig afbrekende tanden die gerepareerd moeten worden
- Toenemende kaak- en oorklachten
- Aanhoudende tongpijn links achteraan, mogelijk door scherpe kiezen
- Vrijwel alle tanden en kiezen zijn gevoelig
- Recent zijn er nieuwe composiet facings geplaatst, maar deze voelen te dik en sluiten niet goed aan
- Een recent aangemeten nachtbitje past niet goed
Ik maak me vooral zorgen over:
- De toenemende kaakklachten en tongpijn
- Het gevoel dat mijn beet te diep wordt door slijtage
- De algemene staat van mijn gebit en het niet goed kunnen kauwen
- De langetermijngevolgen van de ontbrekende kiezen en het naar binnen groeien van de achterste kiezen
Wat ik zoek in een tandarts:
Iemand die de tijd neemt om mijn complexe situatie te begrijpen.
Een tandarts die een langetermijnvisie heeft en een gedegen behandelplan kan opstellen.
Ervaring met vergelijkbare complexe gevallen.
Ik zou graag advies willen over:
- Of een nieuwe behandeling bij ACTA in mijn situatie zinvol zou zijn
- De mogelijkheid van implantaten, ook gezien het feit dat de situatie al lang bestaat en de achterste kiezen zijn verschoven
- Aanbevelingen voor een tandarts (regio Alkmaar) die ervaring heeft met complexe gevallen en bruxisme
Heeft iemand ervaring met vergelijkbare problematiek of kan iemand mij adviseren over de beste aanpak?
Bij voorbaat dank voor jullie reacties.
Dit zijn de voor en na fotos uit 2008:
Oeps, wel lang gewacht…
Lijkt heul erg veul op mijn…
En uiteindelijk word het…
Niet mee eens. Komt goed als…