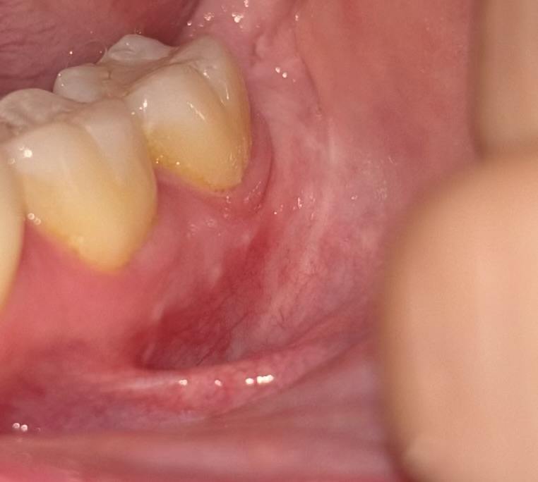
Ik heb op mijn tandvlees (onder mijn kiezen) 3 witte puntjes , zie foto. Deze doen geen zeer maar zag ik toevallig eerder vandaag.. als ik ga googlen kom ik de meest enge dingen tegen! Ik heb 12 jaar geleden een kaakoperatie gehad en geen idee of dit ook gewoon littekenweefsel kan zijn?
Tandarts heeft er in ieder geval nog nooit wat van gezegd maar omdat ik nu die enge dingen heb gelezen maakt het mij best ongerust.. iemand een idee wat het kan zijn?
Alvast bedankt!
Tandarts heeft er in ieder geval nog nooit wat van gezegd maar omdat ik nu die enge dingen heb gelezen maakt het mij best ongerust.. iemand een idee wat het kan zijn?
Alvast bedankt!
Geen idee maar ik zie er…
Hoi! Probeer niet te veel te…
Wat zijn shishjes.??.