Is dit een gaatje

Author:
Daisybloem.1
Posted:
do, 10/17/2024 - 13:05
Goedemiddag,

Een tandarts heeft bij mij een keer een gaatje over het hoofd gezien. Waardoor ik bijna 10 jaar met een gat in mijn verstandskies heb gelopen. Nu heb ik altijd de angst dat dat weer gebeurd. En nu zag ik in een andere verstandskies weer een plek. En ik vroeg me af of dit een gaatje is? Het gaat om de verstandskiesrechts boven (op de foto links). Hopelijk kan iemand mij helpen?

Alvast bedankt!

Mvg Daisy
Attach
Tandarts_Richa…

Het is een aantasting. Of het door de glazuur grens is en behandeld moet worden kan ik zo niet beoordelen. X-foto kan uitkomst bieden. Op de foto kan ik niet beoordelen of de verstand kies functie heeft ( contact met de kiezen onder), anders zou er voor extractie gekozen kunnen worden. De kiezen boven zijn aanwezig dus verstand kies niet echt nodig.
do, 10/17/2024 - 15:55 Permalink
Tandarts_Richa…

Idd ...minimum kauwkracht heb je als je vanaf de eerste grote kies naar voren alles hebt. Zo redenerend kan je de verstand kies ook verwijderen. Er zijn vele mogelijkheden . Bespreek dat met uw ta. Ook afhankelijk v d rest v h gebit.
vr, 10/18/2024 - 09:11 Permalink
Daisybloem.1

Dag,
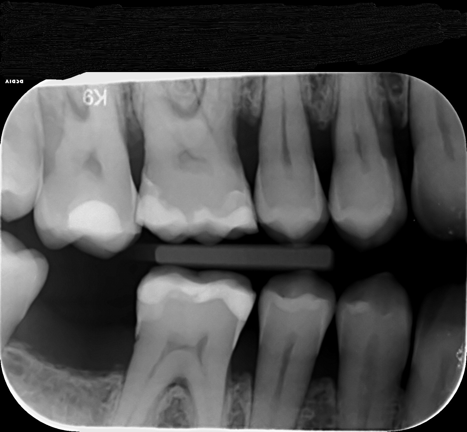
Ik heb de röntgenfoto op gevraagd. Ik vraag me nog steeds af of ik in de 1.8 een gaatje heb. Het gaat hier om de verstands kies rechts boven. Ik zal de röntgen foto hierbij plaatsen. En ook in de 1.7 zie ik een plekje op mijn gebit zitten. Kunt u mijn zeggen aan de hand van de röntgenfoto of er een gaatje in deze kiezen zitten?

Alvast bedankt!
Met vriendelijke groet Daisy
Attach
ma, 10/28/2024 - 18:07 Permalink
Tandarts_Richa…

Op de 18 zie ik dus geen gaatje, maar een x-foto is niet altijd duidelijk. Het kan zijn dat het aanslag is maar daar voelen wij met een sonde (haakje). De 17 zou mogelijk een overlapping zijn...dat lijkt dan als een "gaatje". Dus sonderen voor meer zekerheid. Als wij toch aan het sonderen zijn zou ik de achterkant v d 16 (hier ook de voorkant) en 46 ook sonderen. Waar ik v schrik is het verlies aan ophanging v d kiezen. Rookt u of heeft u gerookt?. Hoe lang is dit al aan de gang en welk aandacht wordt daaraan besteed?.
ma, 10/28/2024 - 19:03 Permalink
Daisybloem.1

Ja, het verlies van ophanging van de kiezen. Dat is volgens mij tussen de 10 en 15 jaar geleden begonnen. Ik ga 3 x per jaar naar de mondhygiënist. En het wordt elke keer gescreend doormiddel van een meting. Volgens haar is het stabiel. Alleen bij 1 kies nog ontstoken tandvlees. Op de plek waar mijn verstandskies er tegen aanlag. En waar dus lange tijd cariës in heeft gezeten. Deze verstandskies is inmiddels getrokken. Maar waar hij tegen de 2.7 aanlag zit dus een ontsteking. Deze kies is grondig gereinigd. En als de ontsteking niet weg gaat moet hij getrokken worden. Ik vroeg me af of dit niet een beetje te drastisch is? Want verder is het een gezonde kies. Zou u het zelfde adviseren?
di, 10/29/2024 - 13:21 Permalink