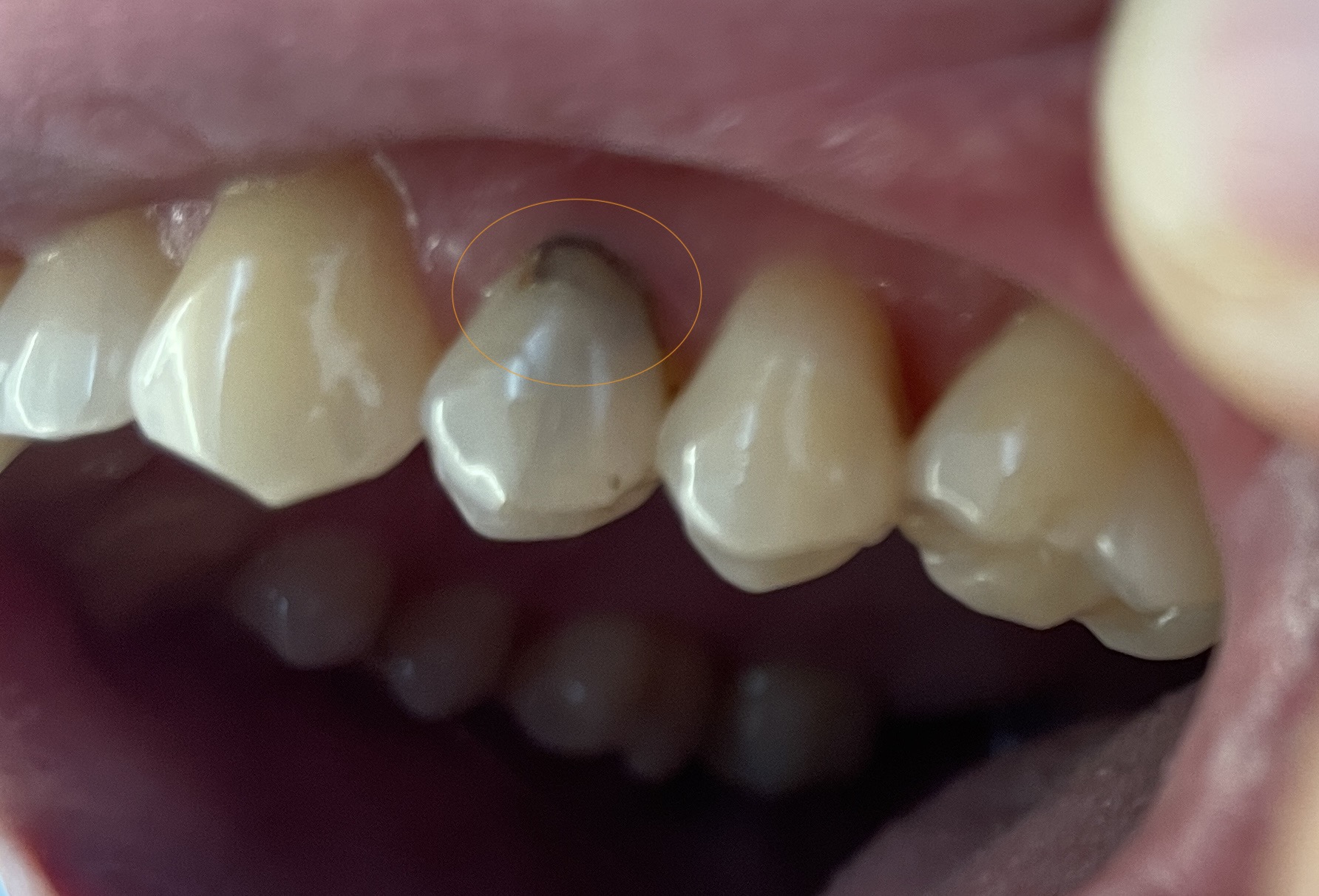
Ik ben er niet zeker van dat twee (x2) V93 Drievlaksvulling composiet geschikt is voor de kleine tandverkleuring die ik heb. Wat denk je? Kan het zijn dat mijn tandarts mij te veel in rekening probeert te brengen omdat ik verzekerd ben? De foto is bijgevoegd.
Ik zie nu alleen de buitenkant. Vervanging v d bestaande vulling zal , op foto te beoordelen maar geen x-foto gezien of er meer aan de hand is, mi geen 3 vl vulling zijn maar eerder een 1 vl.. Ik begroot altijd meer dan in werkelijkheid zodat ik achteraf geen gezeur krijg als het meer wordt. Maar als het minder is reken ik ook minder. Als ik te weinig begroot en het wordt meer dan is het hek v d dam. Weet u zeker dat er geen tweede vulling nodig is. Bespreek het vooraf met uw tandarts. Zou de x-foto moeten zien. Blokkeer de namen en post hier de begroting.
Rekening gezien, maar voor de mee lezers hier niet zichtbaar, dus niet duidelijk. Denk nit dat ik twee drievlaks zou begroten. Maar heb dus niet volledig beeld.
Hartelijk dank voor uw antwoord, het is zeer nuttig! Ja, ik begrijp dat je de prijs iets moet verhogen en vervolgens verlagen als dat nodig is. Het klinkt eerlijk en betrouwbaar. Toch vertelde mijn tandarts mij dat de x-foto goed is, dat de uiterst linker tand met gevulde wortel vanbinnen geen problemen heeft, en dat de behandeling zelf nu niet eens nodig is. Hij vertelde mij dat hij mij de rekening zou sturen als ik deze verkleuring, die je ziet op de foto die ik heb gemaakt, wil laten behandelen.
Een levend stuk hout kan je iets buigen, een dood stuk hout breekt als je dat buigt. Een wkb behandelde "dode" kies wordt broos vandaar dat ik een kroon adviseer. Ik wacht niet tot de kies breekt. Want als het ongunstig breekt dan is het verloren. Geld v d vullingen kan je beter stoppen in het tarief v e kroon. Kroon is helaas prijziger.
Hartelijk dank voor de tip, ik zal overwegen om meteen voor de kroon te gaan. Maar eerst wil ik er zeker van zijn dat ik deze tandarts kan vertrouwen, en wil ik controleren of de rekening die hij voorstelt eerlijk is. Op dit moment lijkt het erop dat hij wil proberen mij te veel in rekening te brengen.
ik vermoed dat de aanwezige vulling zeg maar bovenop ook vervangen wordt, vanwege de toch diepere verkleuring. Maar er is maar 1 manier om erachter te komen: even toelichting vragen.
Geachte lezer,
Als patiënt kom ik bij de tandarts om nieuwe vulling te laten plaatsen daar de oude vulling er in het geheel was uitgevallen. Voor deze behandeling wordt een code gebruikt van V82. Het bedrag wat betaald wordt is dat dan inclusief het consult?
Graag zie ik een reactie van u tegemoet waarvoor bij voorbaat dank.
Neen dat is exclusief het consult. Consult buiten reguliere controle naar aanleiding v e klacht, bijv: uitgevallen vulling.C003. Maar als de vulling vervangen al eerder bij een consult is gezien en toen een afspraak gemaakt dan is het niet de bedoeling nogmaals een consult in rekening te brengen.
Het kan soms lastig zijn om te bepalen of een rekening eerlijk is, vooral als het gaat om diensten waarvan de prijzen variëren. Net zoals bij tandartsrekeningen, is het belangrijk om te weten wat je krijgt voor je geld. Dit geldt ook bij het kiezen van een betrouwbaar online casino. Voor Nederlanders die op zoek zijn naar goede opties, kan casino-lalabet.nl een handig startpunt zijn. Het biedt betrouwbare informatie over de beste buitenlandse casino’s, net zoals een second opinion bij de tandarts nuttig kan zijn!
Ik zie nu alleen de…
Rekening gezien, maar voor…
X-foto + rekening
Een levend stuk hout kan je…
Als antwoord op Een levend stuk hout kan je… door Tandarts_Richa…
Vertrouwen of niet
Vraag het ....
ik vermoed dat de aanwezige…
klopt dit?
Als patiënt kom ik bij de tandarts om nieuwe vulling te laten plaatsen daar de oude vulling er in het geheel was uitgevallen. Voor deze behandeling wordt een code gebruikt van V82. Het bedrag wat betaald wordt is dat dan inclusief het consult?
Graag zie ik een reactie van u tegemoet waarvoor bij voorbaat dank.
Neen dat is exclusief het…
Het kan soms lastig zijn om…
Dit is niet de juiste forum…